Subacute granulomatous thyroiditis - case 1761 |
|
Clinical presentation: A 41-year-old woman was referred for evaluation of fever and painful thyroid. Her complaints started a month ago.
Palpation: Both lobes were hard and painful.
Functional state: hyperthyroidism with TSH-level 0.01 mIU/L, FT4 30.9 pM/L.
Ultrasonography: There were many hypoechogenic areas with blurred borders within both lobes. The vascularization was decreased.
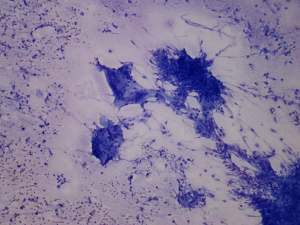
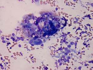
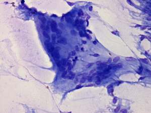
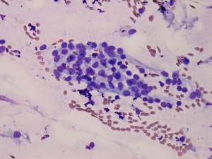
Cytological diagnosis: subacute, granulomatous de Quervain's thyroiditis.
Suggestion: steroid therapy.










