Subacute granulomatous thyroiditis - case 2125 |
|
Clinical presentation: A 48-yr-old woman was referred for evaluation of a multinodular goiter. Three weeks ago - six weeks after an upper airway infection - the left side of the neck became tender. On ultrasound examination multiple nodules were described including a TIRADS 5 category lesion in the left lobe.
Palpation: There was a soft nodule in the right lobe. The left lobe was hard and tender on palpation.
Laboratory tests: TSH 0.07 mIU/L, FT4 22.9 pM/L, CRP 31 mg/L.
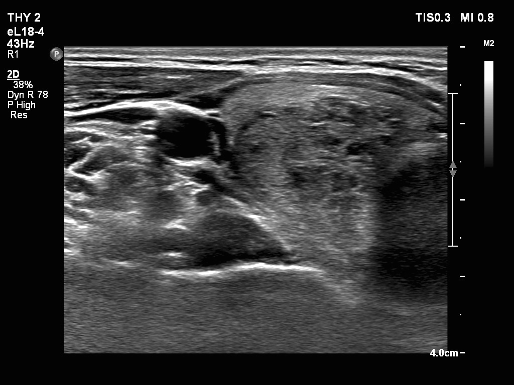
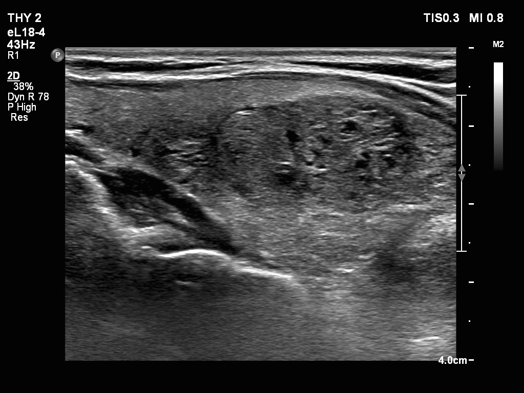
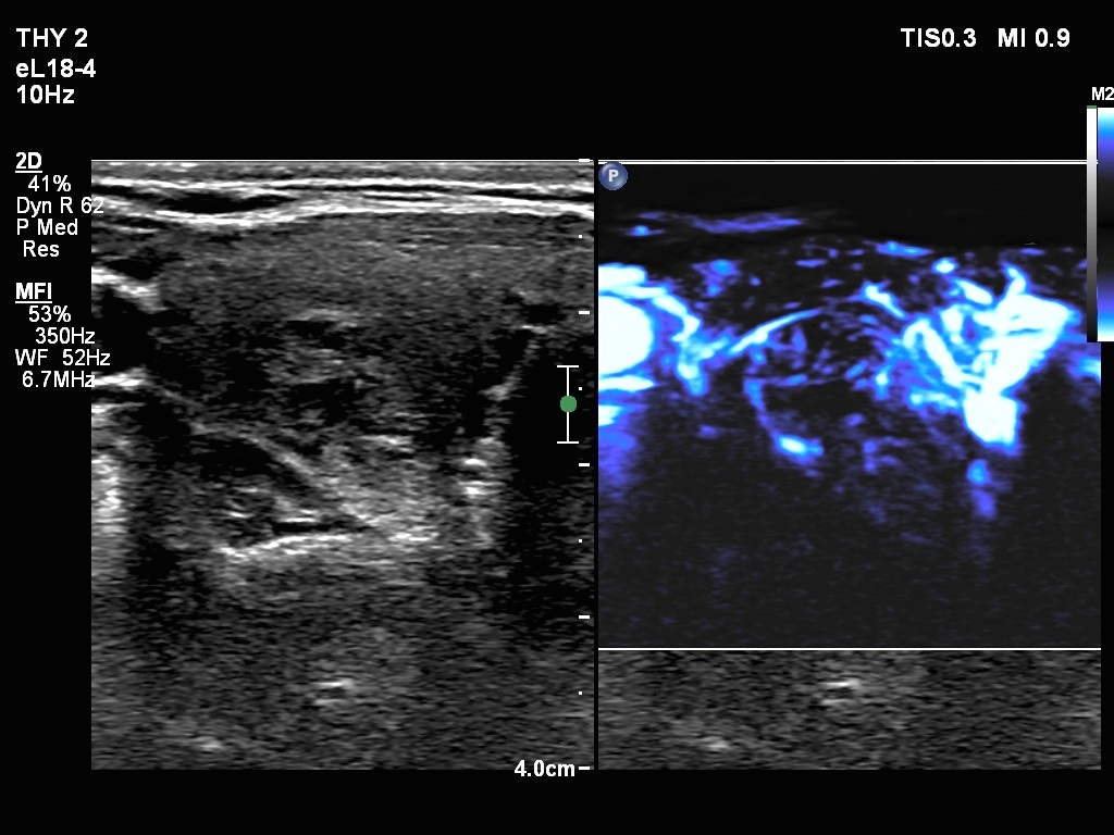
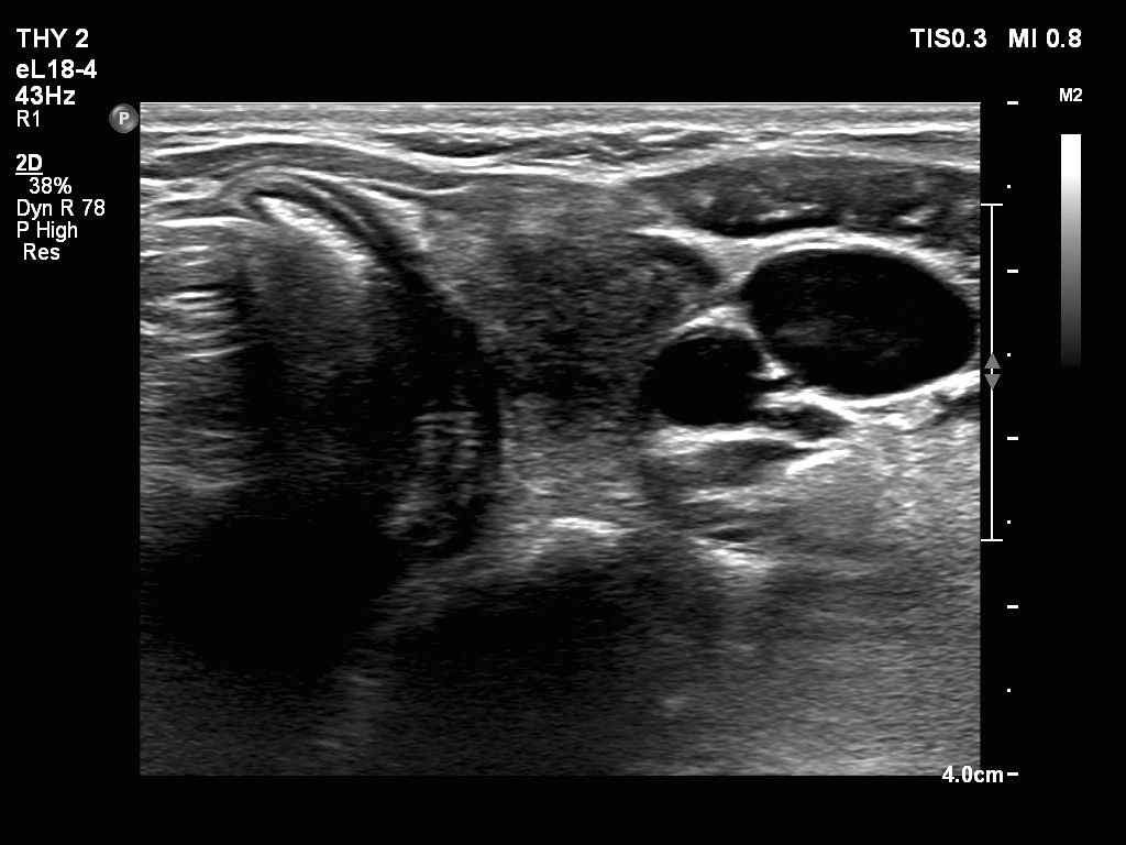
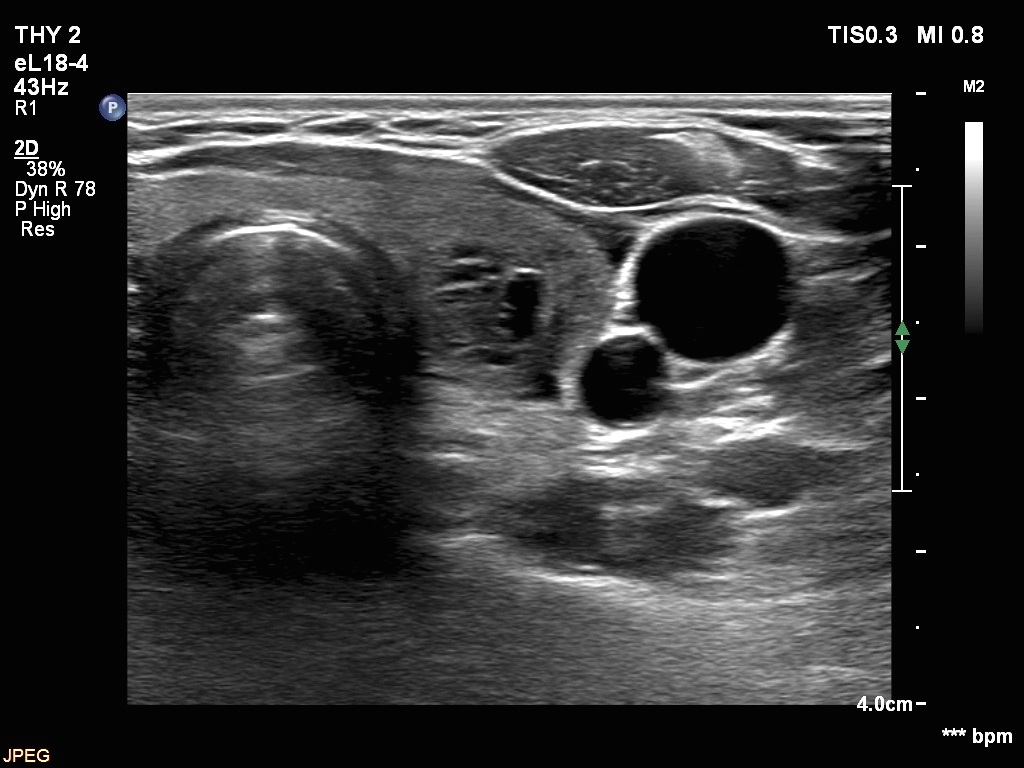
Ultrasonography. The thyroid was echonormal. There were two nodules in the right lobe. The upper was hyperechogenic-cystic while the lower was a minimally-moderately hypoechogenic. The latter had irregular, lobulated margins. There was a hypoechoic area in the upper two-third of left lobe. The discrete area presented ill-defined margins and decreased vascularization. A spongiform cyst was found in the lower pole of the left lobe.
Cytology of the nodule with irregular margins resulted in benign lesion, while cytology disclosed de Quervain's thyroiditis in the event of the hypoechoic area in the left lobe.
Comment. The issue is whether the lesion is composed of one or more nodules. In the former case it has lobulated margins, in the latter this is a non-pathological lobulation. Nonetheless, the question is only theoretical because the nodule requires cytological evaluation.









