Prev

Subacute granulomatous thyroiditis - case 2169

Nodular goiter

Next

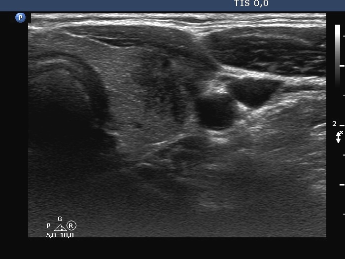
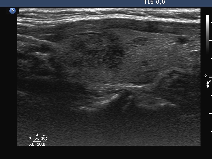
First examination (first row of images):

Clinical presentation: A 38-yr-old woman requested evaluation. She was treated for subacute de Quervain's thyroiditis with methylprednisolone 17 years ago. Five years later, despite normal TSH level, thyroid replacement therapy was initiated on complaints suggesting hypothyroidism. In the last 3 weeks she occasionally felt pain in the left side of the neck. Her body temperature remained normal.

Palpation: The left lobe was hard and tender on palpation.

Laboratory tests: TSH 1.26 mIU/L on daily 75 microgram levothyroxine, CRP 1.5 mg/L (normal value < 5), aTPO 0.5 U/mL.

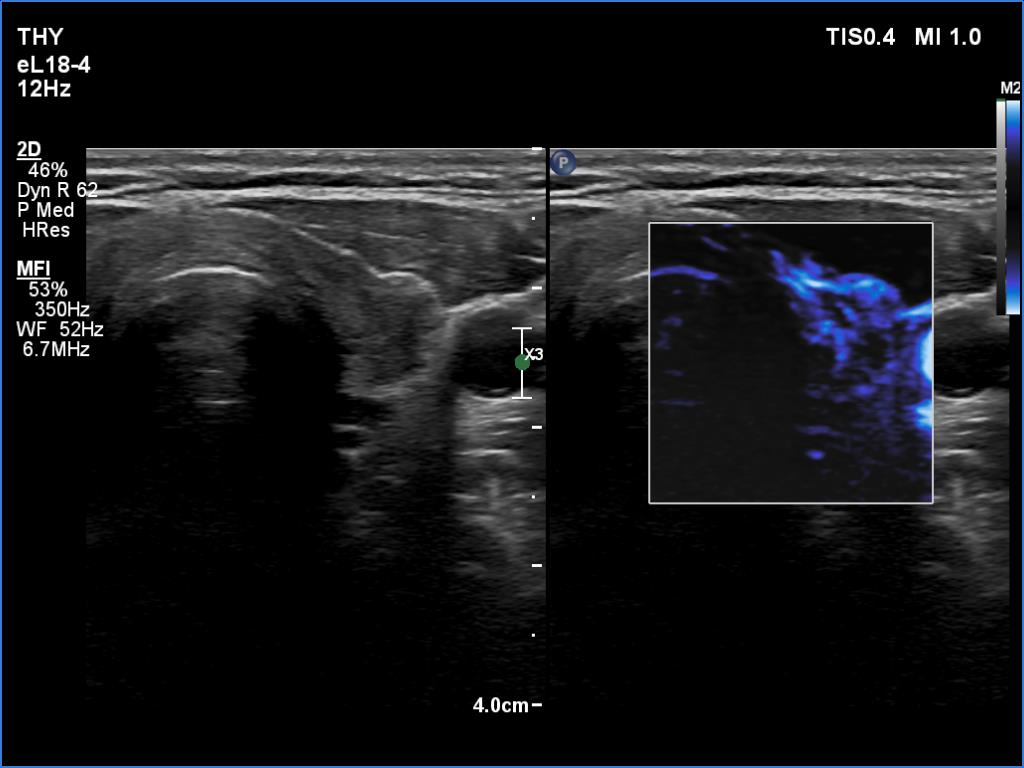
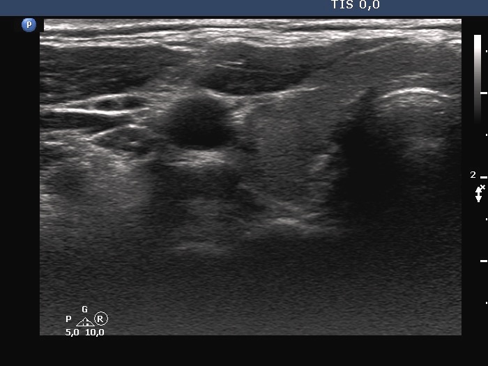
Ultrasonography. The thyroid was minimally hypoechoic. There was a small, discrete lesion in the upper pole of the right lobe. The left lobe had a larger and several tiny hypoechogenic lesions. The large lesion presented partly blurred, partly lobulated margins.

Cytology was performed from the large hypoechoic lesion in the left lobe and resulted in subacute, de Quervain's thyroiditis.

Suggestion: non-steroid anti-inflammatory drug, repeat examination in three months.

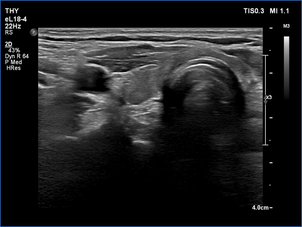
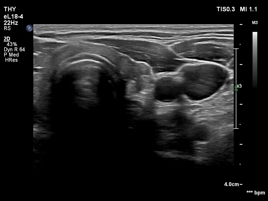
Second examination a year later (second row of images):

Clinical presentation: The complaints of the patients has fully ceased several days after the former visit and had not recur.

Palpation: no abnormality.

Laboratory tests: TSH 0.39 mIU/L on daily 50 microgram levothyroxine.

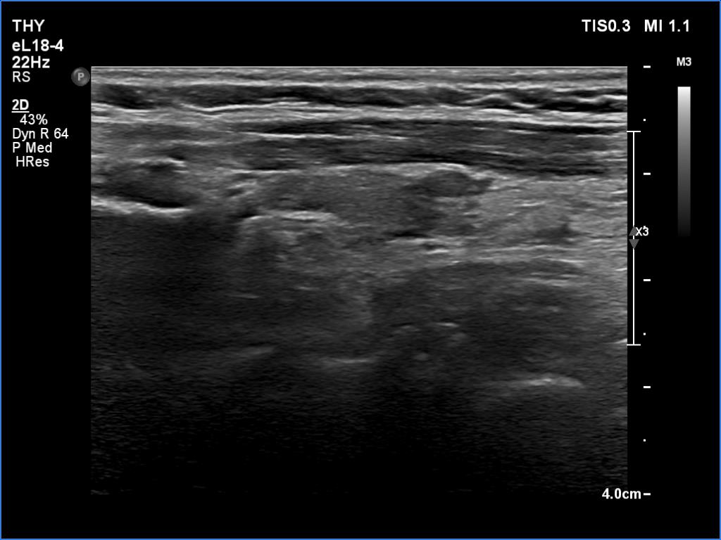
Ultrasonography. The thyroid has significantly decreased in size. The echogenicity became normal. The left lobe has already had discrete hypoechoic lesions but the size of them was much smaller compared with the previous visit.

Suggestion: to stop replacement therapy. TSH in 6 months, ultrasound in 3 years.

Comments.

  1. This is a highly unusual case. De Quervain's thyroiditis recurs only exceptionally years after an attack. In our practice based on the management of more than 700 cases, the late recurrence rate is in less than 2%. The second unusual circumstance was that the patient was treated unnecessarily with levothyroxine. And last but not least, the laboratory data did not support the diagnosis of de Quervain's thyroiditis, at all. Neither the normal CRP levels nor the lack of thyroid dysfunction. On the normal CRP level, the diagnosis of de Quervain's thyroiditis could be questioned.

  2. The hypoechoic lesion in the left lobe had lobulated, spiculated and not blurred margins as in the usual case of de Quervain's thyroiditis.

  3. if we had any doubts about the diagnosis after the first examination, it disappeared after the second visit: the size of the lobes decreased, the echogenicity became normal and although the discrete lesion has been already present, it also decreased in size.

 

 

 

 

 

 

 

 

 

 

 

 

 

 

 

 

mask