Graves' disease - case 121 |
|
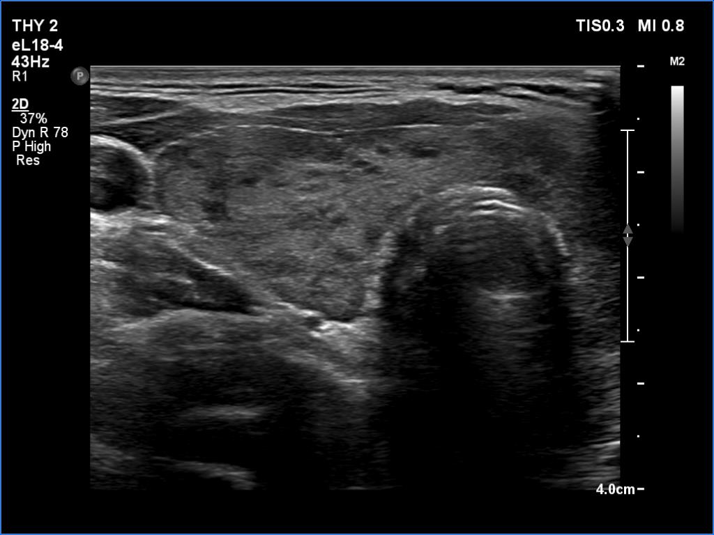
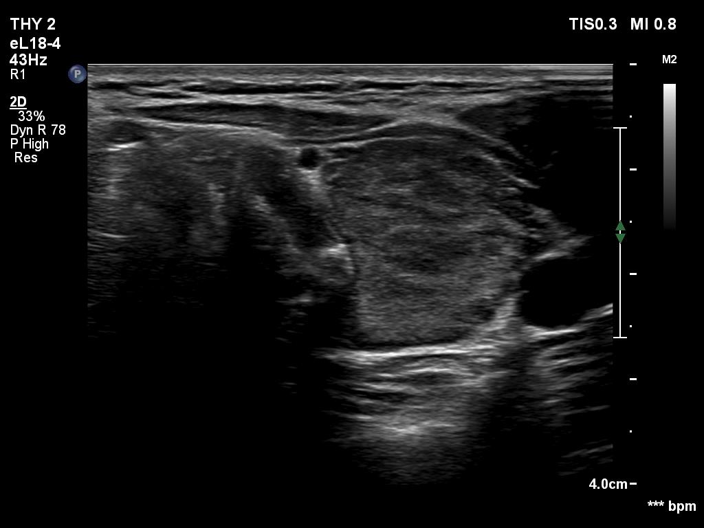
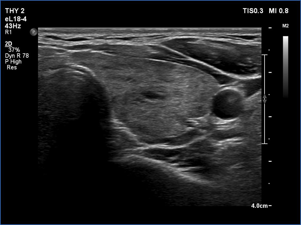
Right lobe, transverse scan
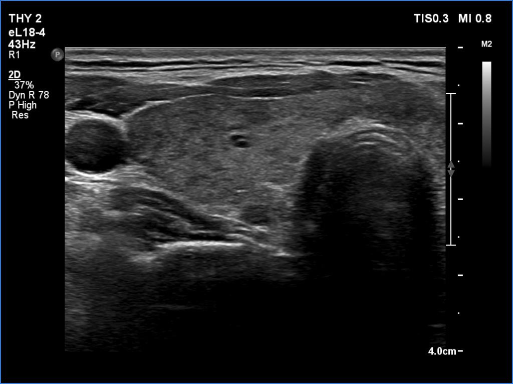
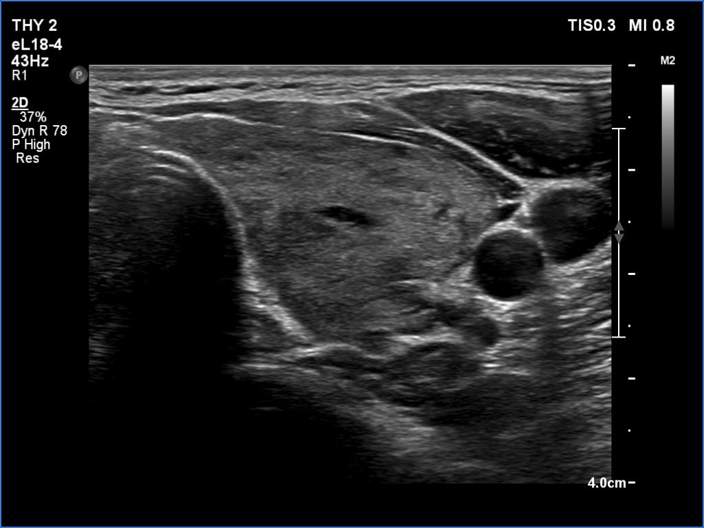
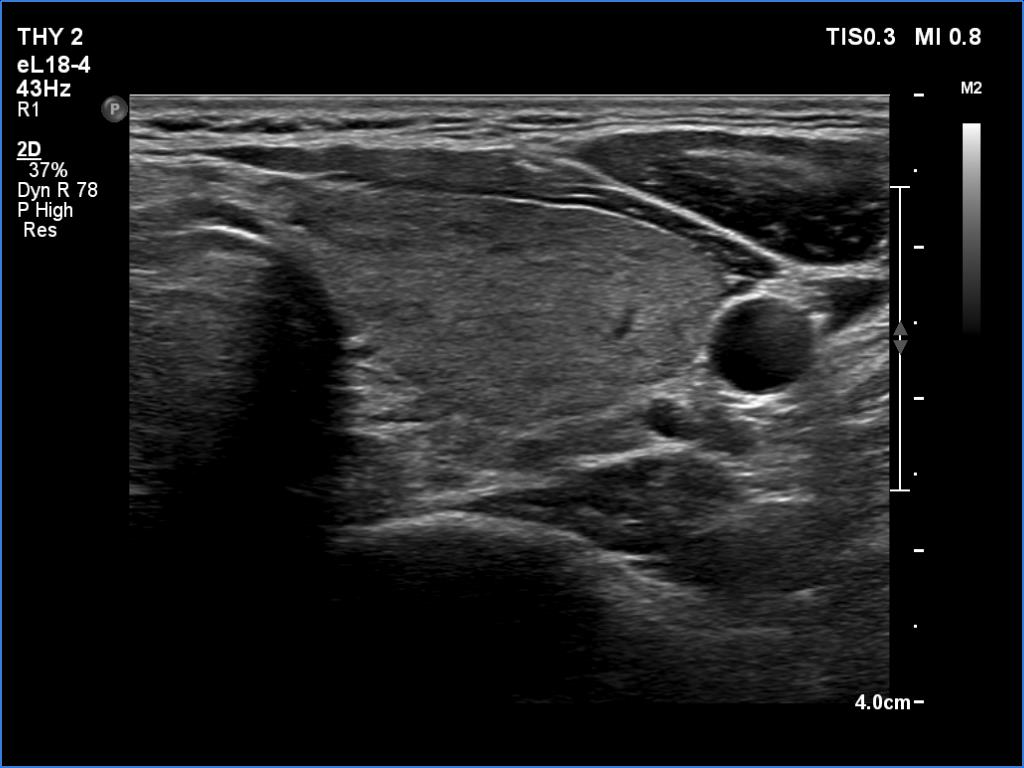
Right lobe, longitudinal scan
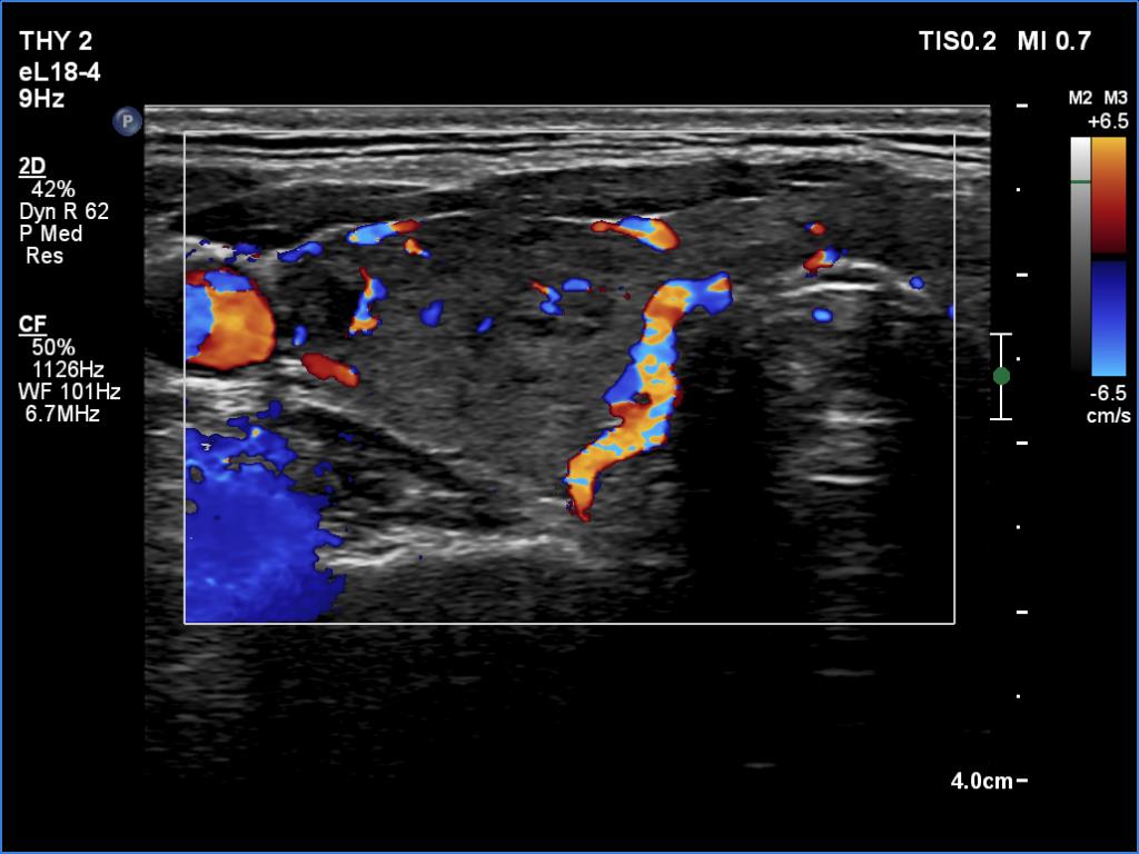
Right lobe, color Doppler mode
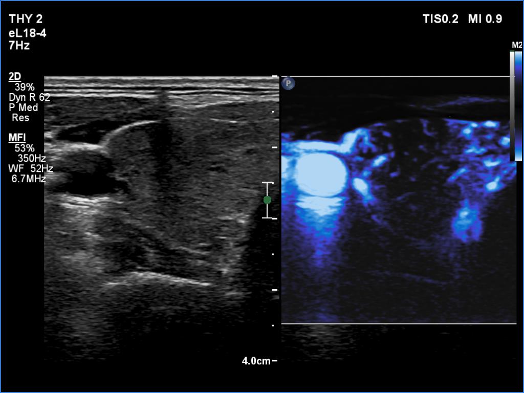
Right lobe, microflow imaging
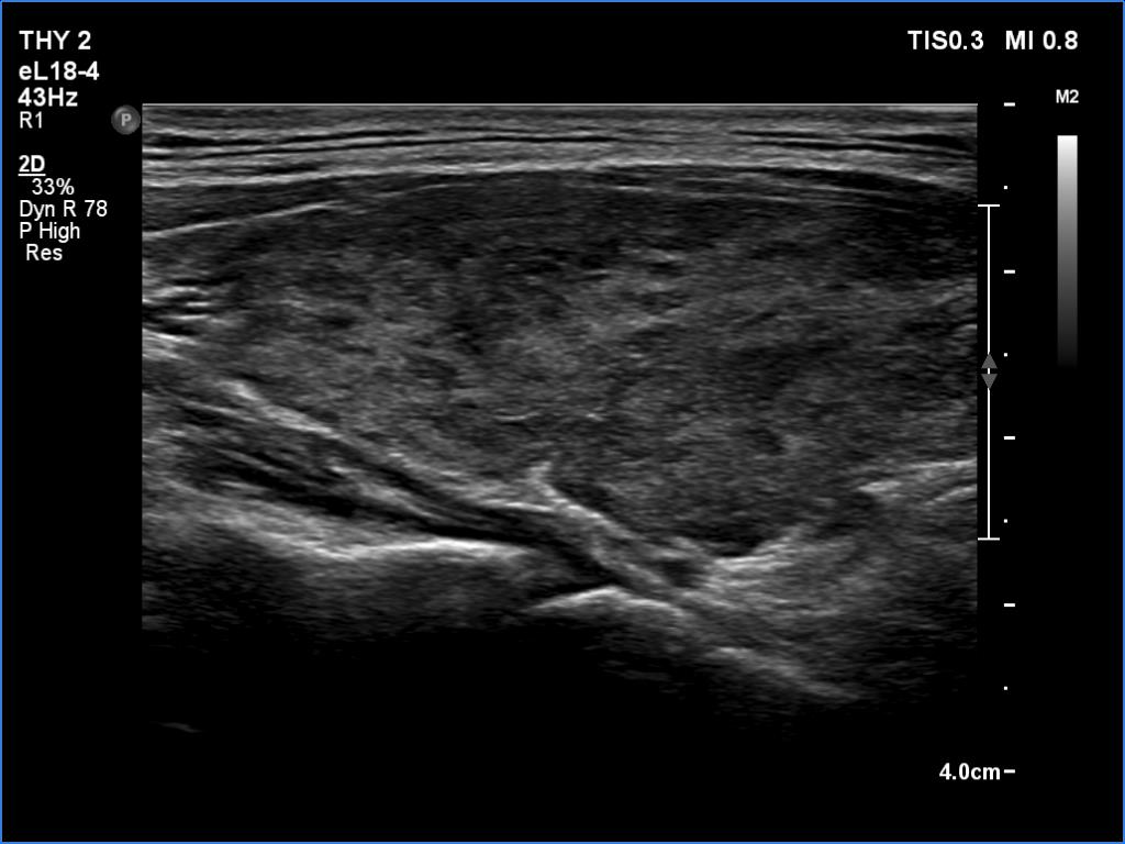
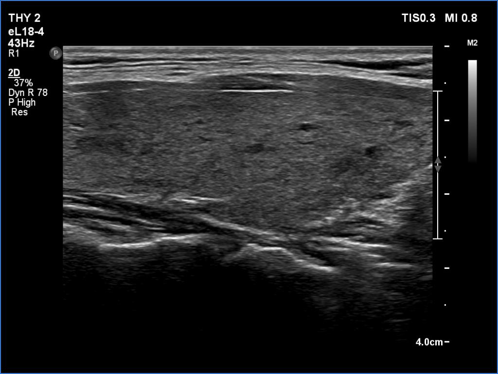
Left lobe, transverse scan
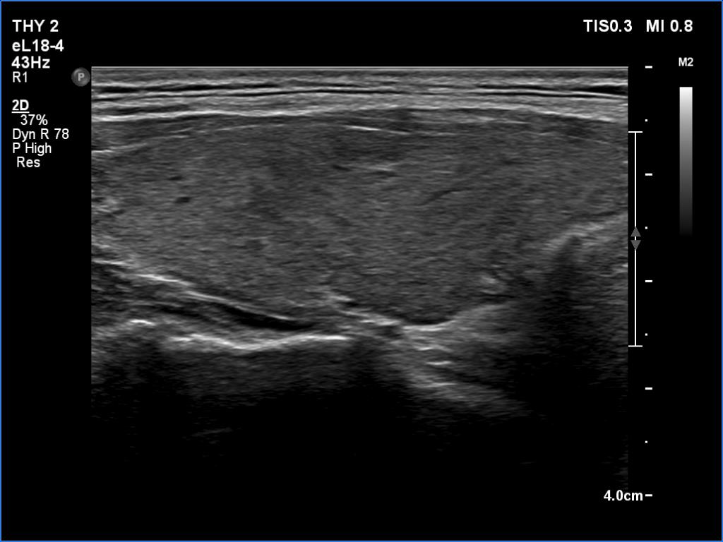
Left lobe, longitudinal scan
Left lobe, color Doppler mode
Left lobe, microflow imaging
Clinical data: A 35-year-old woman was referred for a newly diagnosed hyperthyroidism. The patient had typical complaints, including elevated heart rate and weight loss.
Summary of ultrasound and laboratory data:
Date of examination |
Volume of the thyroid lobes (mL) |
Echogenicity index (%) |
Therapy before |
Results of laboratory investigations |
Therapy after |
|||
|
Right lobe |
Left lobe |
TSH (mIU/L) |
FT4 (pM/L) |
FT3 (pM/L) |
||||
First visit |
27.2 |
18.4 |
70% |
Nothing |
< 0.001 |
61.2 |
35.7 |
30 mg methimazole |
5 weeks after the first visit |
19.1 |
13.5 |
50% |
30 mg methimazole |
< 0.001 |
7.85 |
6.19 |
15 mg methimazole |
4 months after the first visit |
10.4 |
14.4 |
20% |
15 mg methimazole |
0.06 |
13.7 |
4.61 |
10 mg methimazole |
9 months after the first visit |
13.9 |
12.0 |
10% |
10 mg methimazole |
1.98 |
8.11 |
- |
5 mg methimazole |
12 months after the first visit |
10.1 |
11.3 |
< 10% |
5 mg methimazole every other day |
4.97 |
10.1 |
- |
Nothing |
Comment.
This is the typical course of a non-relapsing Graves' hyperthyroidism. As the hormone results improve, both the size of the initially enlarged goiter and the degree of hypoechogenicity decrease.








































