Graves' disease - case 1584 |
|
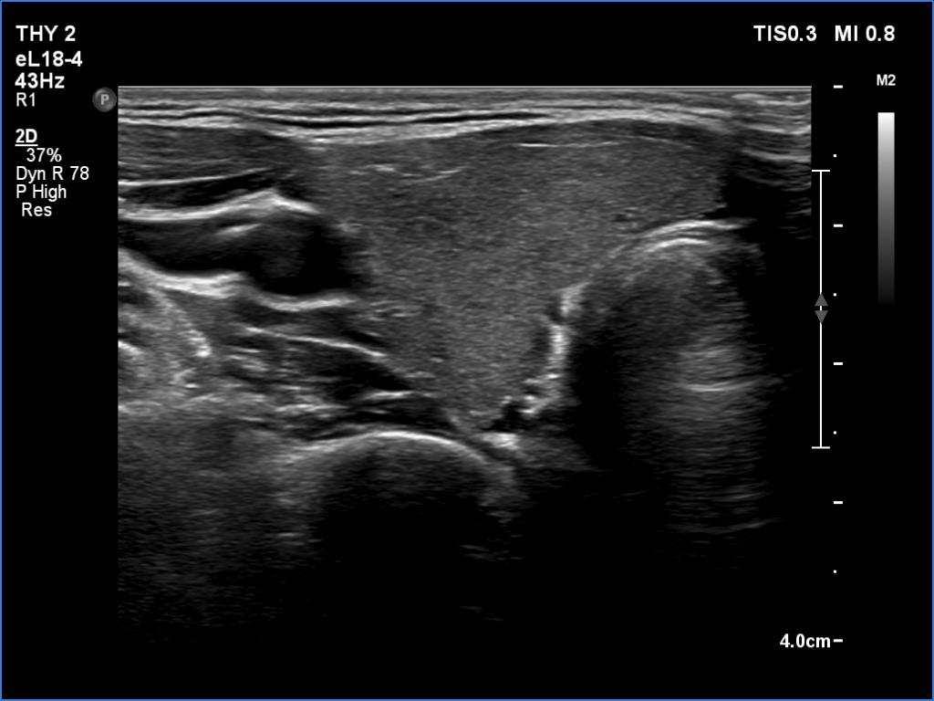
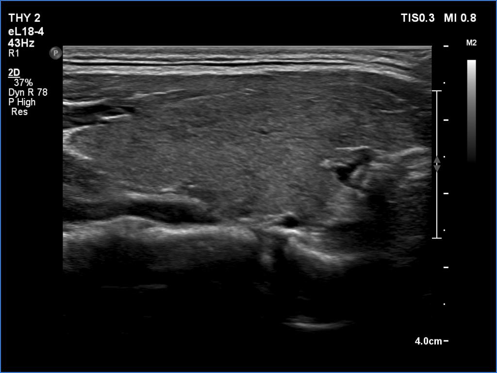
Right lobe, transverse scan
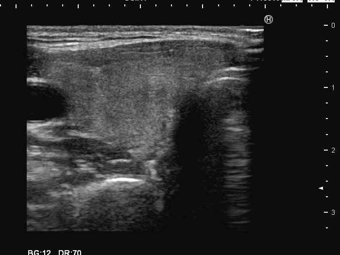
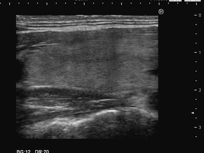
Right lobe, longitudinal scan
Right lobe, color Doppler mode
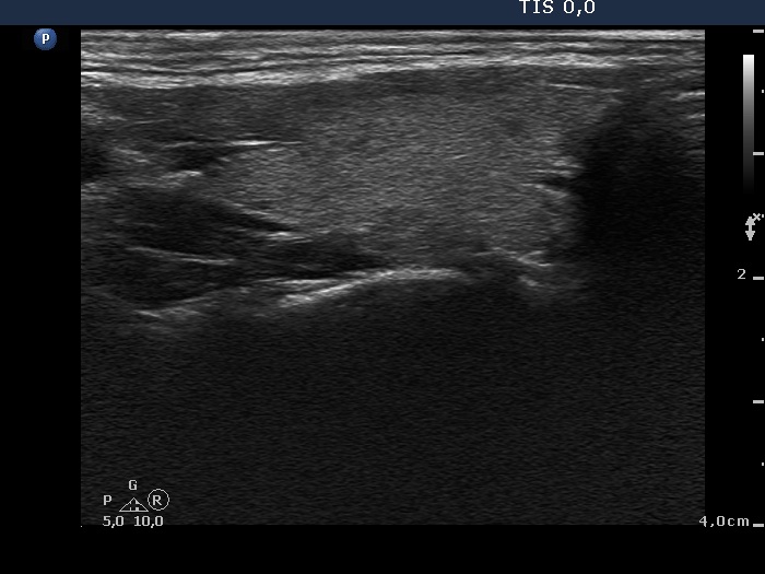
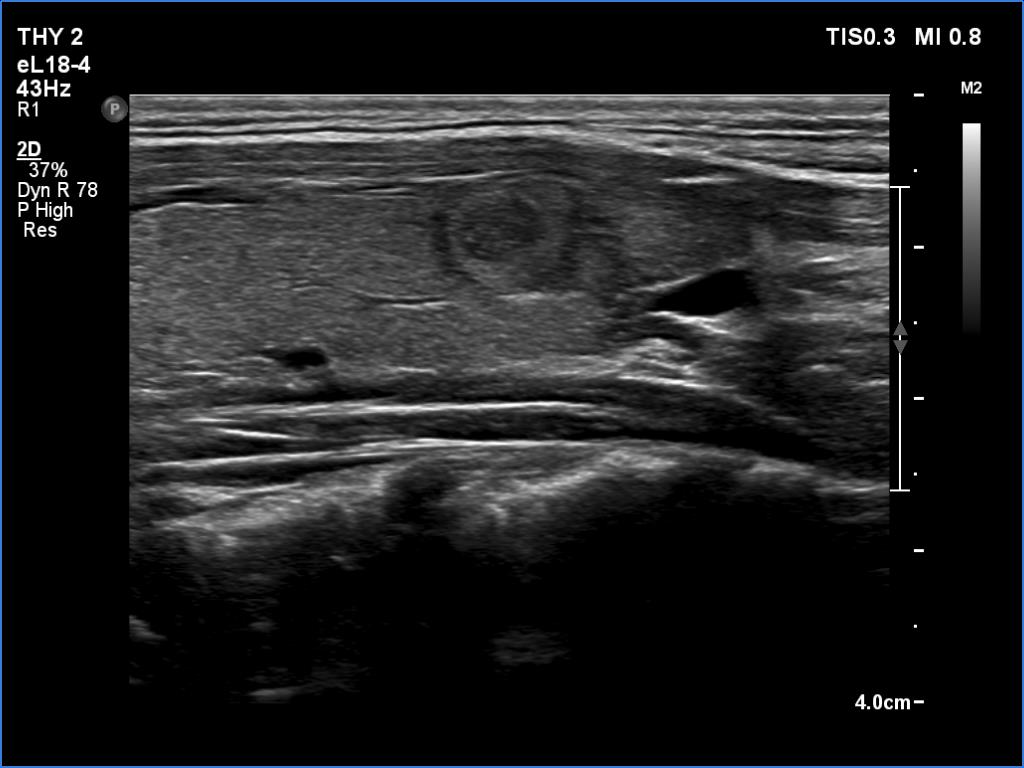
Left lobe, transverse scan
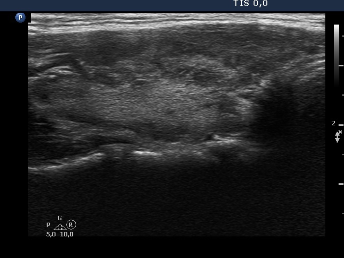
Left lobe, longitudinal scan
Left lobe, color Doppler mode
Summary of the first examination
Clinical data: A 15-year-old girl was referred for a screening because her mother has been treated for primary hypothyroidism.
We performed aTPO which resulted in 2.6 U/mL.
Suggestion: TSH every three years.
Summary of ultrasound and laboratory data
Date of examination |
Volume of the thyroid lobes (mL) |
Echogenicity index |
Therapy before |
Results of laboratory investigations |
Therapy after |
|||
|
Right lobe |
Left lobe |
TSH (mIU/L) |
FT4 (pM/L) |
TSAb U/L) |
||||
First visit |
5.4 |
3.8 |
< 2% |
Nothing |
1.87 |
- |
- |
Nothing |
4 years after the first visit |
8.3 |
8.3 |
50% |
Nothing |
< 0.001 |
37.6 |
5.2 |
20 mg methimazole |
5 years after the first visit |
13.1 |
8.3 |
10% |
5 mg methimazole |
10.2 |
8.6 |
0.8 |
Nothing |
6 years after the first visit |
13.6 |
9.2 |
< 10% |
Nothing |
1.37 |
10.9 |
- |
Nothing |
Comment.
-
Considering the significantly increased risk for developing hypothyroidism and the fact that that a hypothyroidism can have adverse effects before causing any complaints, we recommend screening first-degree relative of a patient who has autoimmune thyroid disease. Screening means performance of TSH every three years and in the event of pregnancy at once.
-
This is the usual course of Graves' disease regarding the change in echo pattern - before, during and after the activity of the autoimmune process. The only exception is the change in the size of the thyroid. In most cases, the thyroid increases during the activity of the disease, then returns to normal. However, in this patient the age counts: at the first examination, the patient was only 15-year-old.
- There are two situations in Graves 'disease where circulation is increased. At the stage of disease activity and when hypothyroidism is observed with medication. In the former case, the blood flow is almost always increased, in the latter it can be decreased and increased.
























