Prev

Graves' disease - case 2191

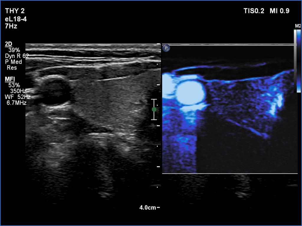
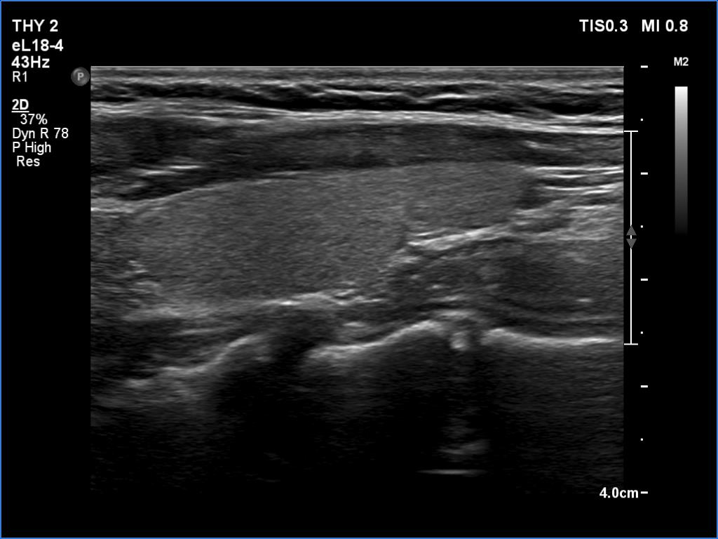
Nodular goiter

Next

Clinical presentation: A 39-year-old woman was referred for evaluation of a newly diagnosed hyperthyroidism. She visited her GP because of fatigue, hair loss, nervousness and palpitation.

Palpation: No abnormality.

Result of blood test: TSH undetectable, FT4 51.9 pM/L. (The test was performed 4 days before the present examination.)

Ultrasonography. The thyroid was echonormal. There were no discrete lesions. The vascularity was average or slightly decreased. Microflow imaging has not revealed increased number of intrathyroidal vessels.

A repeat blood test was indicated. TSH 1.09 mIU/L, FT4 12.9 pM/L, aTPO 7 U/mL, TSAb undetectable, CRP 1.1 mg/L (normal value below 5).

The patient denied taking thyroxine or any material with high iodine content. She was told that her thyroid is very likely healthy and her complaints are not of thyroidal. A repeat blood test was suggested in three months which resulted in euthyroidism. I told the patient that based on the ultrasound pattern of the nodule, the risk of malignancy was extremely low. I suggested that unless it bothers her aesthetically, it is not worth having surgery. A repeat ultrasound was advised in a year.

I called the GP who looked at things very willingly. It turned out to be an extreme load that day as the other two doctors in the village did not work due to COVID infection. In addition, one patient fainted while taking blood. This explained that the tubes of a patient with truly hyperthyroidism had been exchanged for a patient with a healthy thyroid gland.

Comments.

  1. A completely intact thyroid with average or decreased vascularity does not exclude the possibility of an autoimmune hyperthyroidism of significant degree, but substantially decreases the chance of that - except for recurrent hyperthyroidism. If a patient who has been never treated for thyroid disease presents with FT4 level at least twice as high as the upper limit with such ultrasound pattern, with such ultrasound pattern, we regularly repeat the blood test. A failure of the first blood test can be revealed in around half of these cases.

  2. This issue does not cover mild degrees of hyperthyroidism in seemingly healthy thyroid which we meet every month. This can be explained by relatively common laboratory problems or excess physical or psychological stress situations.

 

 

 

 

 

 

 

 

 

 

 

 

 

 

 

 

mask