Lymphocytic thyroiditis - case 445 |
|
Clinical data: A 41-year-old woman came to a routine follow-up. Sha has been treated with hypothyroidism for 19 years. At that time, the dimensions were 16x14x47 and 16x16x44 mm (width x depth x length), right and left lobe, respectively.
Palpation: Both lobes were a bit firm on palpation.
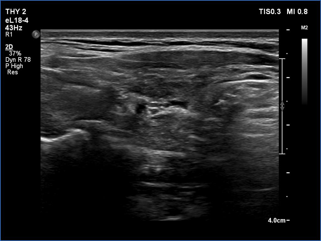
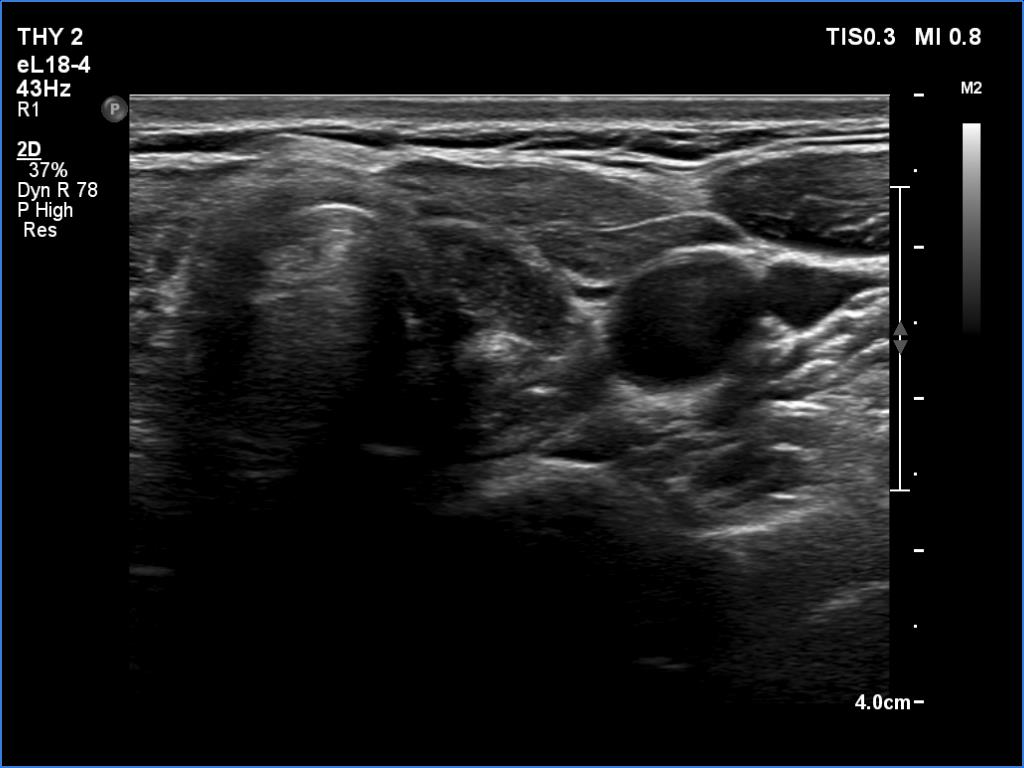
Ultrasonography. The thyroid was atrophic and deeply hypoechoic. The dimensions were 8x9x18 and 10x7x21 mm (width x depth x length), right and left lobe, respectively.
Laboratory test: TSH 2.17 mIU/L on daily 125 microgram levothyroxine.
Comment. Most of the time, the atrophy seen here can be found in a long-standing hypothyroidism; in this patient, the thyroid volume has decreased to less than a tenth in 20 years.




