Prev

Lymphocytic thyroiditis - case 751

Nodular goiter

Next

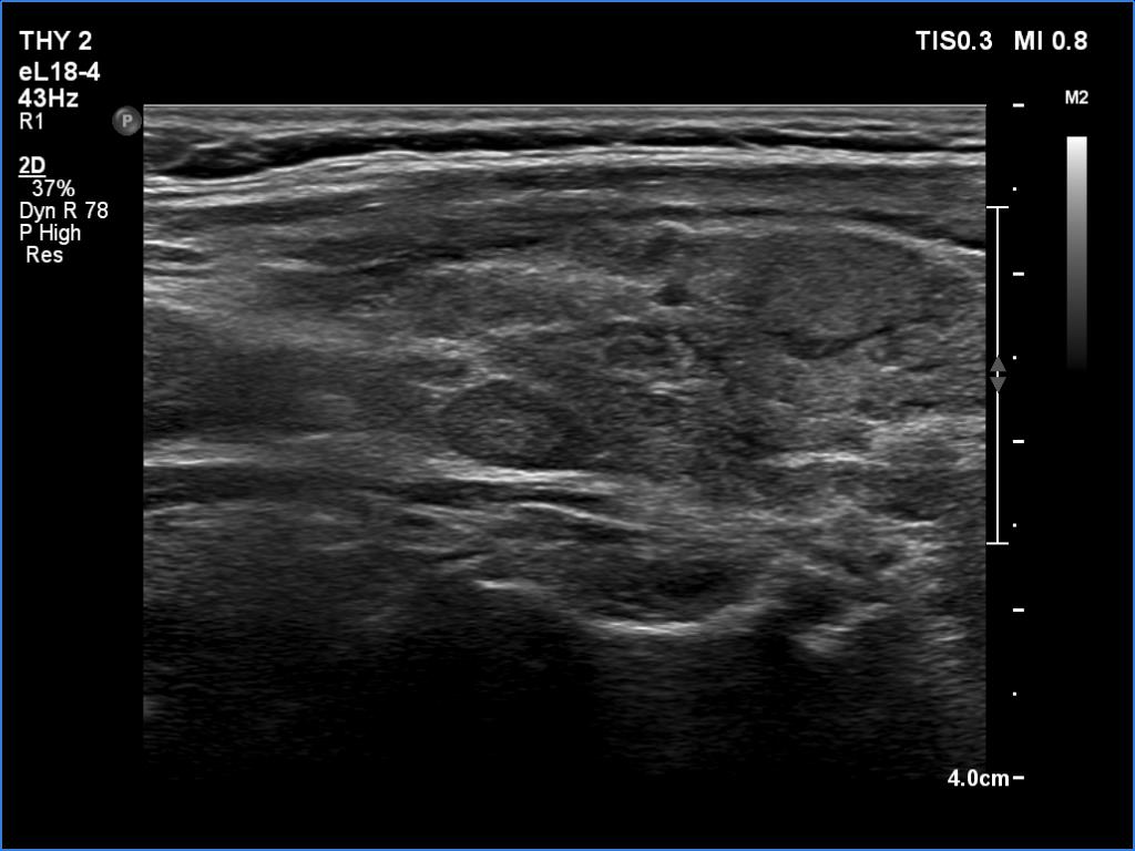
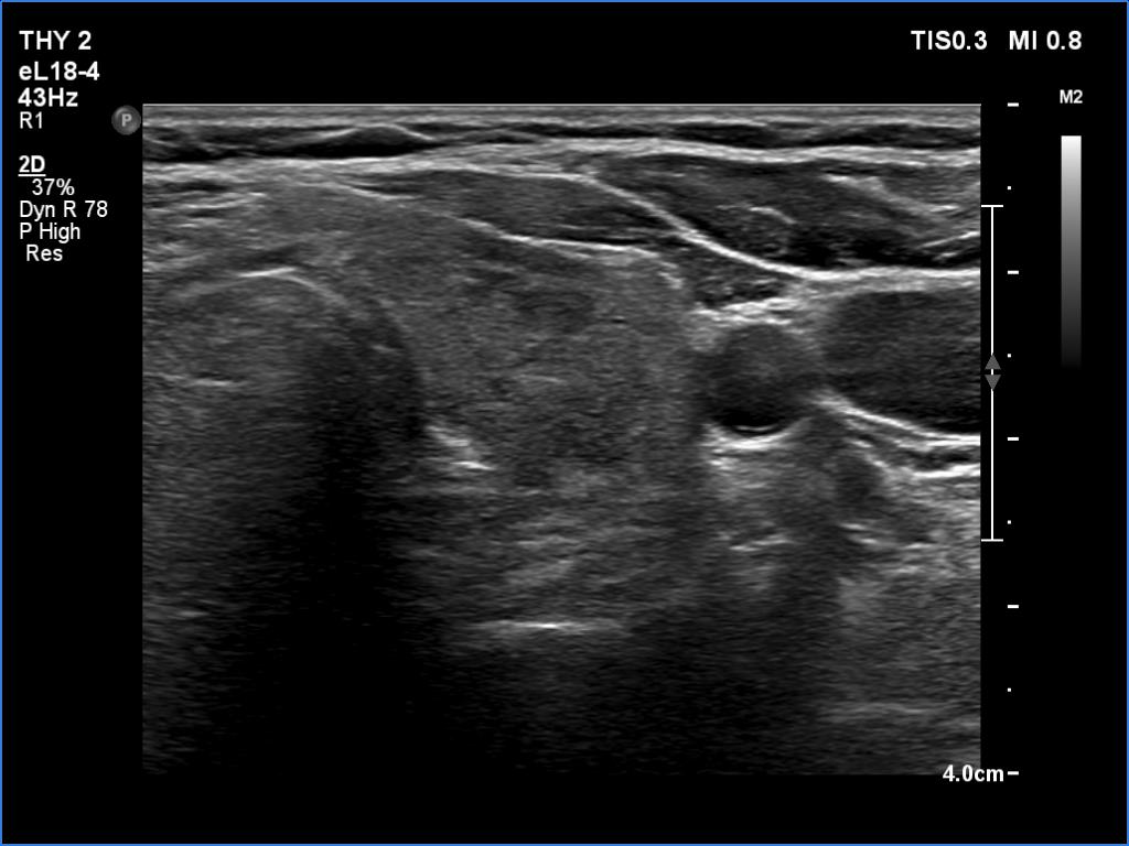
Clinical data: A 57-year-old woman was referred for evaluation of an elevated aTPO level detected on screening.

Palpation: The right lobe was suspicious having a nodule.

Laboratory tests: TSH 1.85 mIU/L, aTPO > 1300 U/mL.

Ultrasonography. The thyroid was minimally hypoechoic and had several discrete areas of various echogenicities. None of these lesions corresponded to true nodule.

We suggested TSH in a year.

 

 

 

 

 

 

 

 

 

 

 

 

 

mask