Lymph nodes - case 1131 |
|
Clinical presentation: A 49-year-old woman requested a second opinion. During an evaluation of diffuse complaints, a multinodular goiter was found. Cytology resulted in suspicion of papillary cancer. A total thyroidectomy was suggested.
Palpation: The thyroid was not palpable. There were several firm non-tender knots in the left side of the neck.
Functional state: euthyroidism with TSH 1.87 mIU/L, FT4 12.3 pM/L.
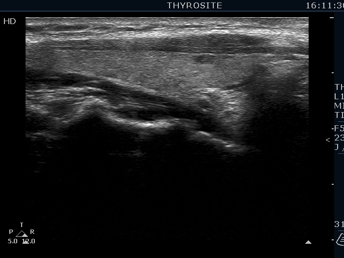
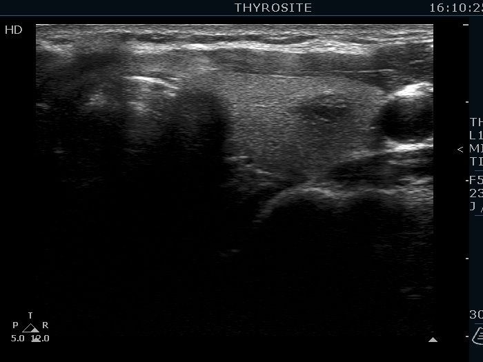
Ultrasonography. The thyroid was echonormal. There were several hypoechoic nodules in the left lobe. The middle one had back wall cystic figures. There were 3 or four discrete, deeply hypoechoic lesions above and lateral to the left lobe in the neck. One of them presented with a hilum-like figure while the others lacked hilum.
Aspiration cytology of the lesion in the middle part of the left lobe resulted in benign lesion. One of the masses in the neck was also aspirated and a heterogeneous lymphoid cell population was gained. Wash-out thyroglobulin resulted in 13 ng/mL, while serum thyroglobulin was 19.4 ng/mL.
A left lobectomy and intraoperative frozen section were suggested and performed.
Histopathology disclosed benign hyperplastic nodules and reactive type lymph nodes.
Comments.
-
To override a positive cytology finding is extremely rare to override because we cannot exclude the possibility that we target another non-tumorous part of a nodule.
-
The lymph nodes had a non-typical presentation. They lacked a regular hilum.













