Lymph nodes - case 1602 |
|
Clinical data: A 53-year-old woman was operated on benign thyroid nodules 12 years ago. A total thyroidectomy was performed. The patient noticed a mass in the left side of the neck. On ultrasound a conglomerate of metastatic lymph nodes were describe.
Palpation: There was a not firm mass several centimeters above the left thyroid bed.
Functional state: TSH 0.044 mIU/L on daily 75 microgram levothyroxine.
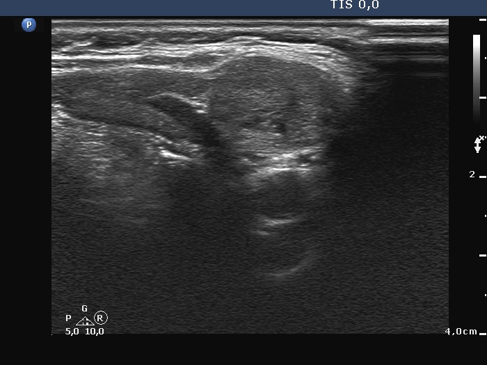
Ultrasonography. There was no thyroid tissue in the thyroid beds. Approximately 7 cm above the thyroid in the left side of the neck there were multiple, moderately hypoechoic lesions which presented tiny cystic areas. They had vascularity but did not have capsule.
Cytology resulted in benign colloid goiter. Wash-out thyroglobulin was 5,040 microgram/L while serum thyroglobulin was 9.4 microgram/L.
The patient decided to remove the lesion because it caused her an uncomfortable feeling of pressure.
Histopathology disclosed benign hyperplastic nodules.
Comment. A lymph node is usually encapsulated while an aberrant thyroid tissue is almost never. The patient' history should be always taken into account: in a patient previously operated on benign condition, a recurrent nodule, even in aberrant location, is almost always benign.








