Lymph nodes in the neck - Case 674 |
|
Clinical data: A 53-year-old woman visited us because she noticed a hard lump in the right submandibular area. She was operated on a follicular adenoma 4 years ago.
Palpation: There was a hard, not freely moveable mass in the right submandibular region.
Functional state: euthyroidism (TSH 2.72 mIU/L).
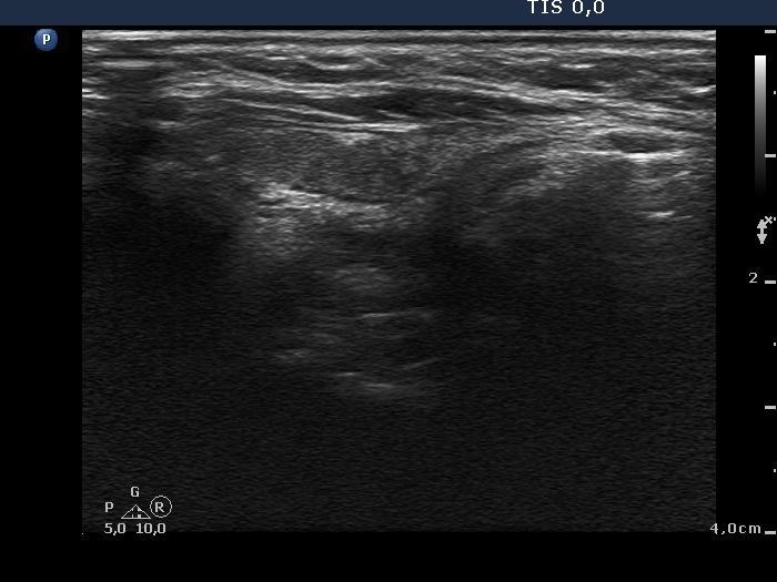
Ultrasonography. The right thyroid was moderately hypoechogenic without any circumscribed lesions. The left thyroid was removed. There were several enlarged lymph nodes in the right submandibular area. The largest one presented two discrete, more hypoechogenic intranodal lesions and a regular hilum.
Cytology from the lymph node resulted in metastatic squamous cell carcinoma.
Further evaluation including whole body PET-CT scan revealed no primary tumor focus. 18 lymph nodes were removed from the right side of the neck.
Histopathology disclosed a lymph node metastasis of a basaloid squamous cell carcinoma. The tumor did not spread extracapsular and was HPV-positive. Only one of the 18 removed node contained metastasis.
The oncological team suggested local irradiation.
Comment. This is an unusual case, the nodes (particularly those presented in the video) seem to be benign, reactive-type ones.















