Parathyroid lesions - case 521 |
|
Clinical data: A 43-year-old woman was diagnosed with primary hyperparathyroidism. Scintigraphy disclosed an enlarged right lower parathyroid. The initial cause of evaluation was elevated serum calcium level detected by chance. The patient was referred in order to confirm and to accurately localize the lesion before surgery.
Palpation: no abnormality.
Laboratory tests: serum-parathormone 119 pg/mL (normal value 12-88), calcium 3.01 mM/L.
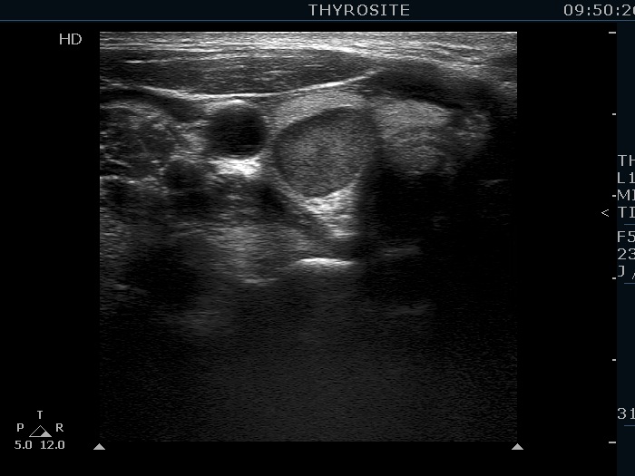
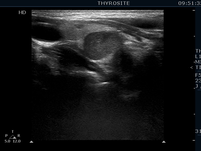
Ultrasonography. The thyroid was echonormal. There was a hypoechoic mass within the lower pole of the right lobe. The lesion was surrounded by thyroid tissue throughout.
Ultrasound-guided aspiration cytology resulted in benign lesion.
Additional tests: wash-out parathormone 769 pg/mL, wash-out thyroglobulin 0 ng/mL.
Histopathology disclosed parathyroid adenoma.
Three months after the surgery both the parathormone level and the serum calcium levels proved to be normal.





