The operated thyroid - case 1388 |
|
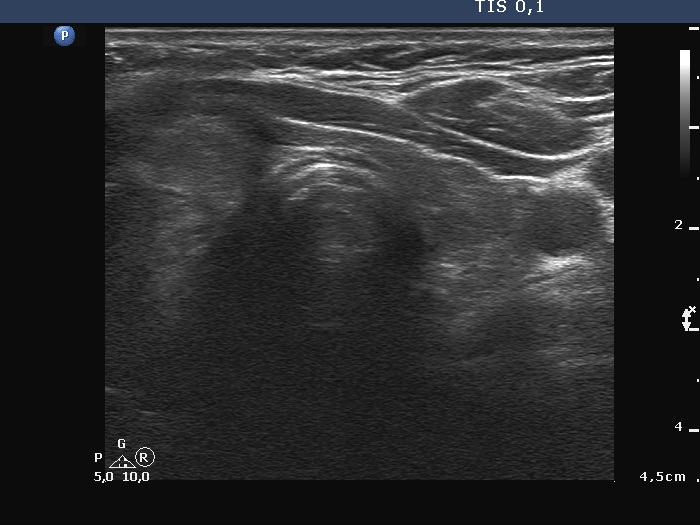
First examination (first row of images):
Clinical data: A 67-year-old woman was referred for evaluation of a newly diagnosed nodular goiter and hypothyroidism. The patient first noticed difficulties in swallowing several months ago.
Palpation: a firm nodule in the right lobe.
Laboratory tests: TSH 5.21 mIU/L, aTPO 821 U/mL.
Ultrasonography. The thyroid was hypoechoic. There was a large, irregular, echonormal mass in the right lobe. The lesion presented both intranodular and perinodular vascularity. The left lobe was decreased in size.
Cytology resulted in oxyphilic tumor.
A right lobectomy was performed. Histopathology disclosed Hashimoto's thyroiditis and benign hyperplastic nodules with extensive oxyphilic metaplasia.
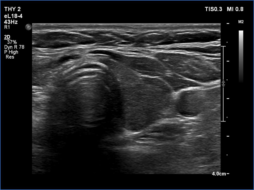
Five years after the surgery (second row of images):
Clinical data: The patient had no complaints.
Palpation: no abnormality.
Laboratory tests: TSH 9.18 mIU/L on daily 75 microgram levothyroxine.
Ultrasonography. The right lobe was replaced by connective tissue. The left lobe was composed of two hypoechoic parts divided by connective tissue. Compared with the previous examination, the left lobe has increased in size.
Suggestion to increase the replacement dose to daily 100 micrograms.
Comments.
-
The ultrasound pattern stood against a follicular-type tumor and stand for hyperplastic nodules. An adenoma is usually solitary, the complex structure is characteristic of a non-tumorous lesion.
-
After the surgery, the left lobe became larger. A connective tissue hedge divided the lobe into two parts. It is to be avoided to misinterpret these areas as pathological nodules.










