The operated thyroid - case 1563 |
|
Clinical data: A 64-year-old woman came to a routine follow-up. She has been operated on a multinodular goiter for more than 20 years. A total thyroidectomy was performed. A recent thyroid ultrasound resulted in thyroiditis or recurrent nodule.
Palpation: no abnormality.
Laboratory tests: TSH 3.28 mIU/L on daily 100 microgram levothyroxine.
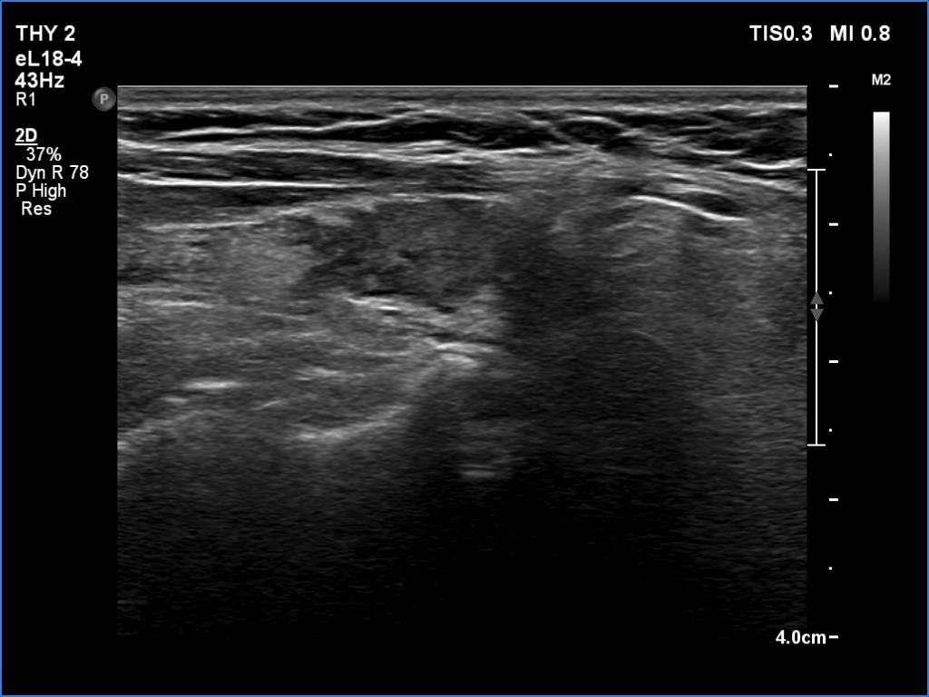
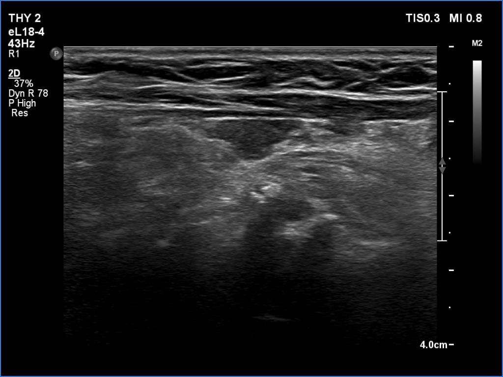
Ultrasonography. Great part of the lobes was composed of hypoechoic mass which showed irregular shape.
Additional test: aTPO 0.5 U/mL.
Suggestion: to continue with daily 100 microgram levothyroxine, TSH in a year.
Comments.
-
Overwhelming majority of the operated thyroids became hypoechoic.
-
This is one of the characteristic presentations of an operated thyroid, a lobe is partly hypoechoic partly echonormal.





