The operated thyroid - case 162 |
|
Clinical data: A 47-year-old woman was referred for aspiration cytology. The patient underwent total thyroidectomy followed by radioiodine therapy because of a T2N1a papillary cancer. Two 15-mm large foci were found, one in the right and the other one in the left lobe. The surgery was performed 13 months ago, while the second radioiodine was 4 months before the present examination. On routine follow-up, the thyroglobulin proved to be elevated.
Palpation: no abnormality.
Laboratory test: thyroglobulin 3.85 microgram/L.
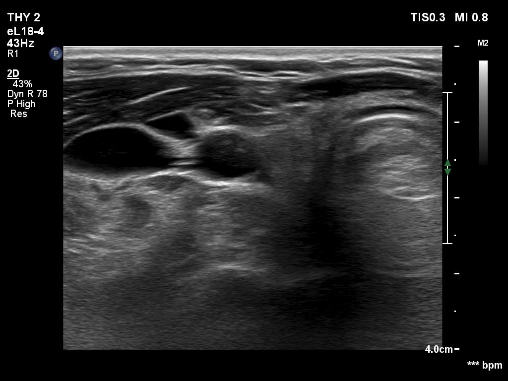
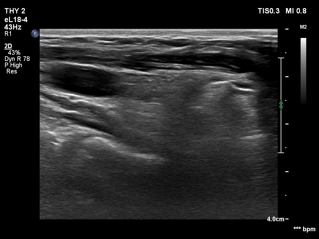
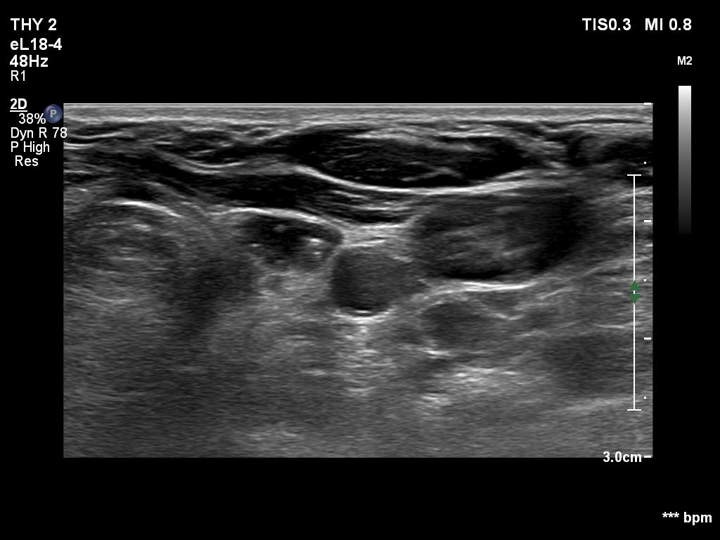
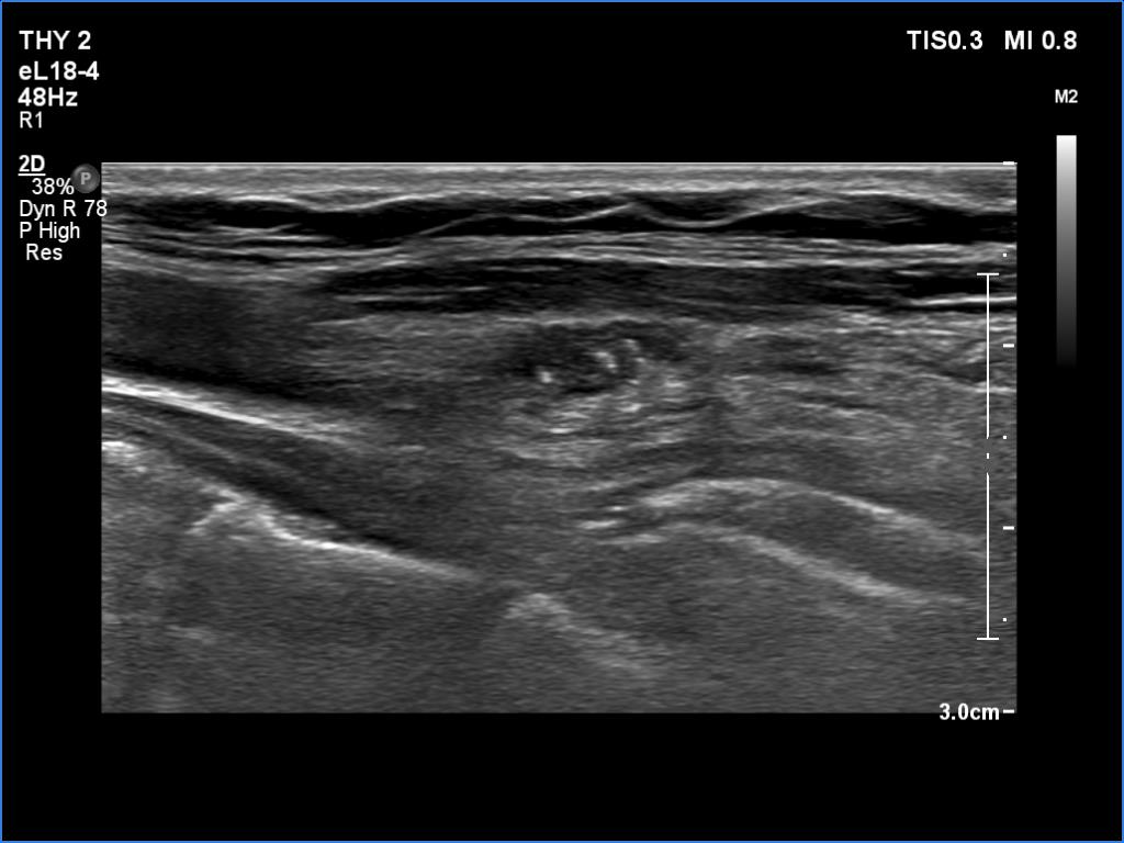
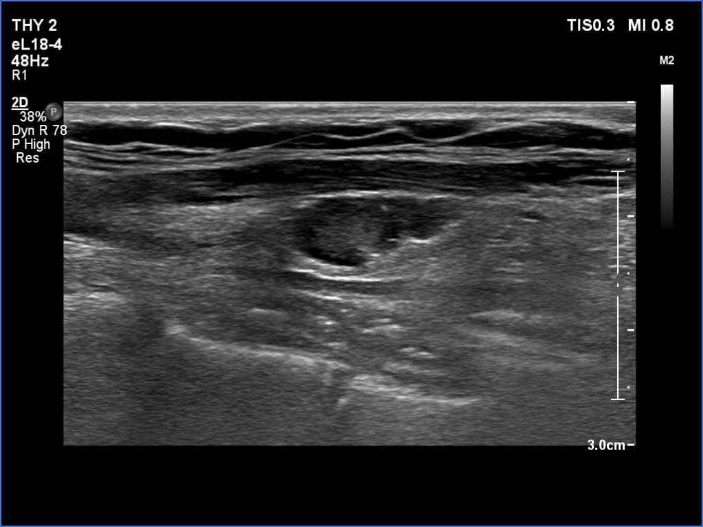
Ultrasonography. The right lobe was replaced with connective tissue. A hypoechoic mass was found in the left thyroid bed. On certain sections, this mass was very similar to a muscle fiber, however some other sections proved the presence of intralesional echogenic figures; the presence of back wall cystic figures was obvious but in the event of some granules microcalcifications should be considered. The lesion was vascularized, which excluded that the mass is muscle fiber.
Cytology resulted in papillary cancer.







