Prev

The operated thyroid - case 1711

Nodular goiter

Next

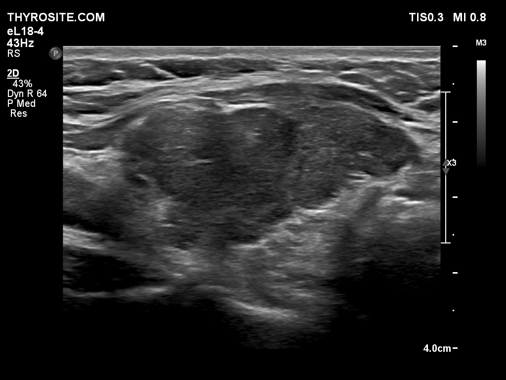
First examination - before surgery (first and second rows of images)

Clinical data: A 58-year-old woman with relapsing hyperthyroidism was managed by another team. She was sent for aspiration cytology. Multiple hypoechogenic nodules were described on ultrasonography.

Palpation: no abnormality.

Results of blood test: euthyroidism on daily 15 mg methimazole (TSH 2.65 mIU/L, FT4 13.0 pM/L).

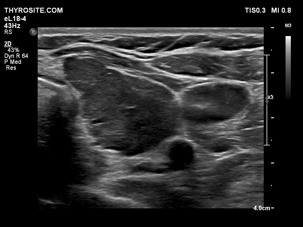
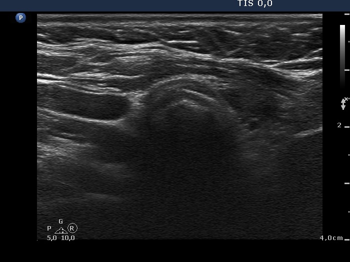
Ultrasonography. Both lobes were hypoechogenic and contained several hypoechogenic areas do not corresponding to nodules. The echogenicity index was 20%. The vascularization was a bit increased.

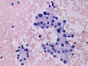
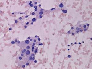
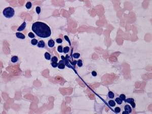
Aspiration cytology was performed from one of the hypoechogenic areas in the right thyroid and resulted in benign, hormonal atypia.

Surgery was performed by a colleague not member of our team. The medical report stated that the patient underwent on right lobectomy and near total left lobectomy. Histopathology disclosed diffuse goiter.

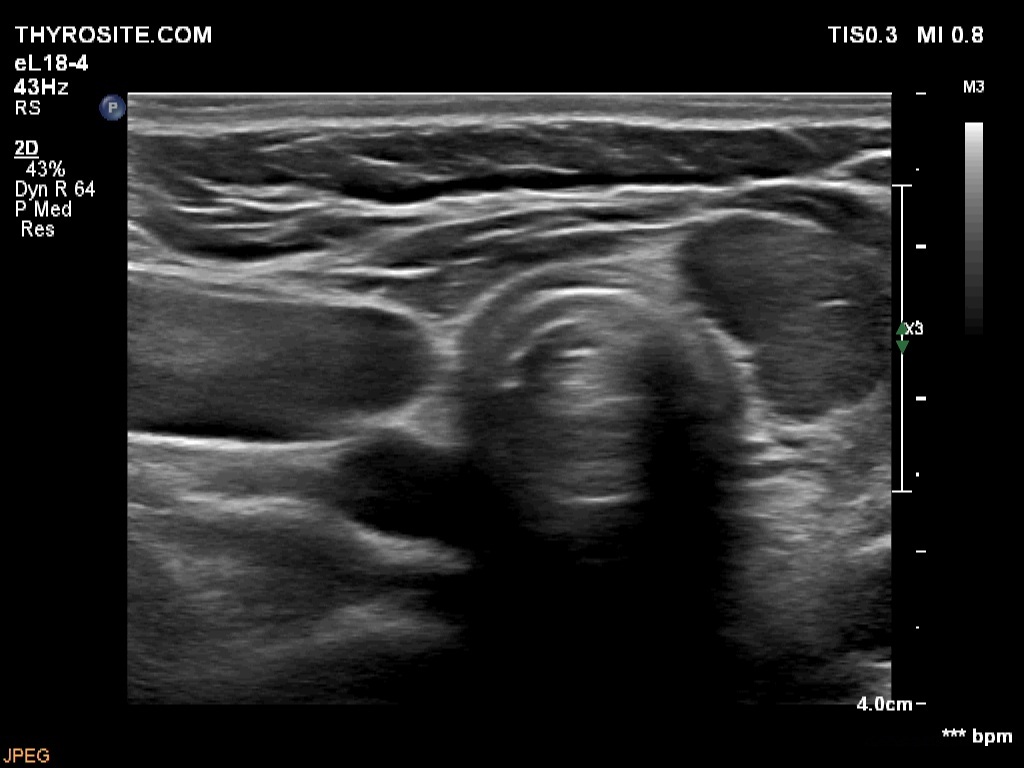
One year after surgery (third row of images)

Clinical data: The patient had no complaints.

Palpation: no abnormality.

Results of blood test: subclinical hyperthyroidism on daily 25 microgram levothyroxine (TSH 0.09 mIU/L, FT4 17.9 pM/L).

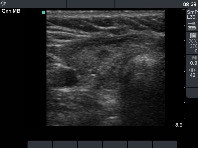
Ultrasonography: There was no parenchyma according to the right lobe, while there was a relatively large thyroid tissue in the left lobe. The latter displayed increased vascularization.

TSAb was undetectable. The replacement therapy has stopped. We offered regular follow-up.

Three years after surgery (fourth row of images)

Clinical data: The patient has lost 2 kg-s in weight and has noticed an increased heart rate and nervousness for several months.

Palpation: no abnormality.

Results of blood test: TSH 0.001 mIU/L, FT4 31.9 pM/L, TSAb 9.1 U/L (normal value below 1.5).

Ultrasonography: The pattern remained unchanged.

Daily 15 mg methimazole was adjusted. We offered radioiodine therapy but the patient wanted to be avoid this treatment. The thyroid hormones were regularly checked in the subsequent years.

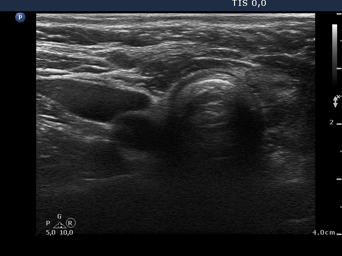
Six years after surgery (third row of images)

Clinical data: The patient had no complaints.

Palpation: no abnormality.

Results of blood test: TSH 29.2 mIU/L, FT4 6.28 pM/L on daily 5 microgram methimazole.

Ultrasonography: unchanged.

The thyrostatic therapy was stopped.

Comments.

  1. The hypoechogenic lesions in this patient were only sonographic signs of the underlying autoimmune disease. These were in fact not nodules.

  2. Considering the large remnant in the left thyroid, the surgery was clearly insufficient. The patient has a high risk for developing a permanent hyperthyroidism.

  3. A previously echonormal thyroid frequently becomes hypoechogenic after surgical procedure irrespectively of the cause of the operation.

 

 

 

 

 

 

 

 

 

 

 

 

mask