Prev

The operated thyroid - case 1781

Nodular goiter

Next

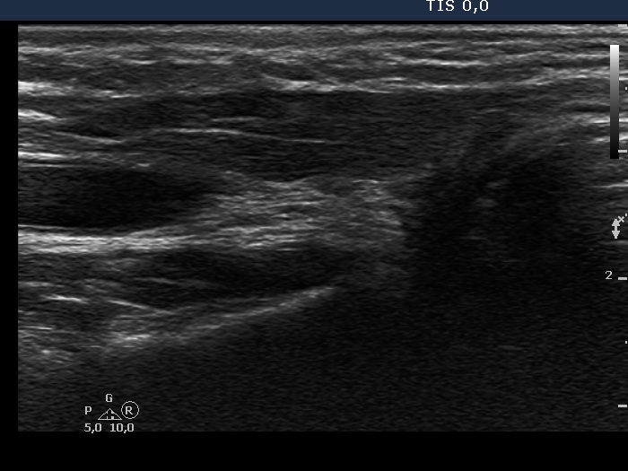
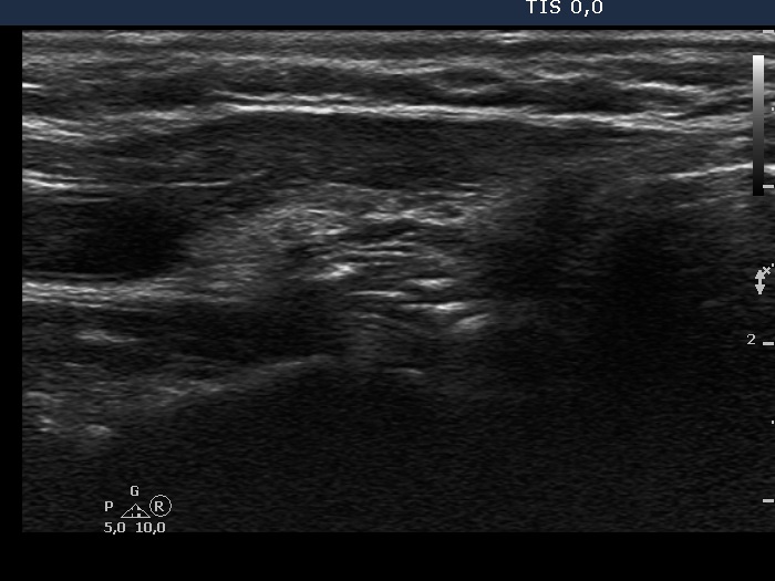
Clinical data: A 41-year-old woman was referred for follow-up examination. She underwent total thyroidectomy and radioiodine therapy for 5 years because of papillary carcinoma. She had no complaints.

Palpation: no abnormality.

Result of blood test: euthyroidism on daily 175 microgram levothyroxine (TSH 0.33 mIU/L).

Ultrasonography. There was no parenchyma according to the thyroid lobes. Connective tissue and muscle fiber have replaced the thyroid tissue, dorsal and ventral part, respectively.

 

 

 

 

 

 

 

 

 

 

 

 

mask