The operated thyroid - case conp 017 |
|
First examination (first to third rows of images):
Clinical presentation: A 26-year-old woman requested an evaluation of a nodule discovered by herself six weeks earlier.
Palpation: a hard, not freely moveable nodule in the lower pole of the left lobe.
Functional state: euthyroidism (TSH-level 1.76 mIU/L, FT4 15.2 pM/L).
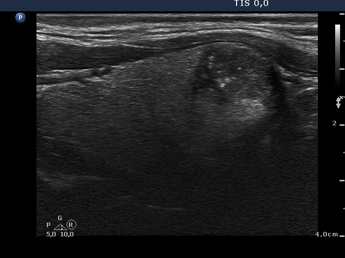
Ultrasonography: The thyroid was echonormal. There were several hypoechogenic nodules presenting microcalcifications in both lobes and in the isthmus. There was a similar lesion under the lower pole of the left lobe. The vascularization of the lesions was variable.
Cytological diagnosis: papillary cancer from the lesion in the right, in the lower pole of the left lobe and under the lower pole of the left lobe.
Histopathology: multifocal, bilateral papillary cancer metastasizing to the lymph nodes in the left side of the neck. Diffuse, chronic lymphocytic thyroiditis was found outside the tumor.
Follow-up examination 7 months after first visit (fourth and fifth third rows):
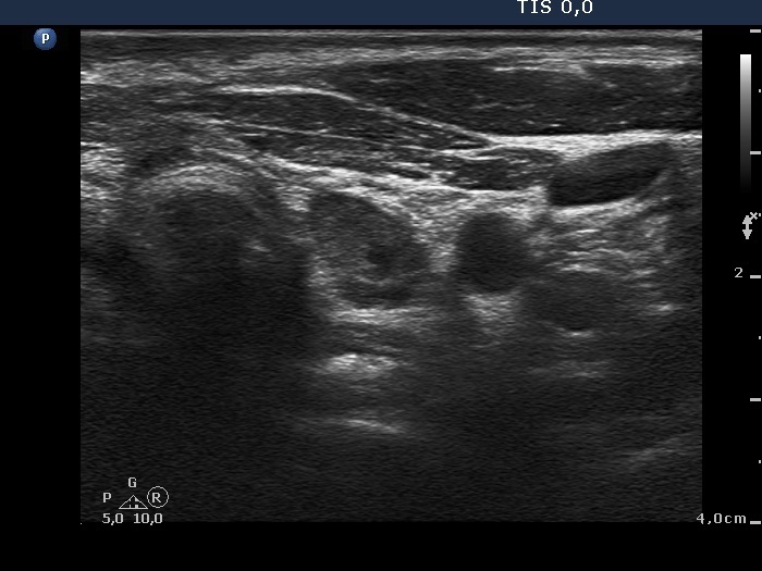
Clinical presentation: The patient underwent on radioiodine therapy. Post-therapeutic thyroglobulin level was 99.1 ng/mL while 3 months later the TG level fell only to 36.5 ng/mL. An ultrasound examination was initiated.
Palpation: a mass in the lower pole of the left thyroid bed was suspected.
Functional state: TSH 0.06 mIU/L, FT4 27.5 pM/L on daily 175 microgram levothyroxine.
Ultrasonography. There was no parenchyma according to the right thyroid bed. There were two hypoechogenic lesions in the lower pole of the left thyroid bed. Both were irregular in shape and presented cystic degeneration and microcalcifications. There was a reactive-type lymph node ventral to the previously described lesions.
Aspiration cytology was performed but was not diagnostic. The wash-out thyroglobulin-level exceeded 476 ng/mL.
Surgery was performed and 5 lymph nodes were removed. Three of them proved to be metastatic while 2 did benign, reactive-type nodes on histopathology.
























