Prev

The operated thyroid - case 1524

Nodular goiter

Next

 

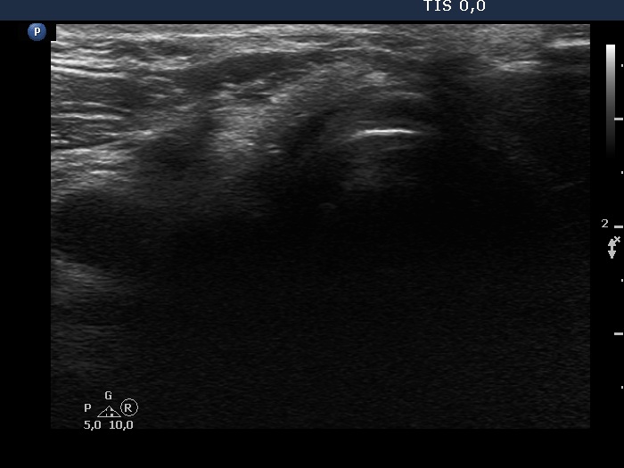
Six years after surgery (first row of images):

Clinical data: A 61-year-old man underwent bilateral thyroid surgery six years ago. According to the final report, total thyroidectomy was performed. Histopathology disclosed benign hyperplastic nodules. Several months before the present examination, the patient noticed a painless mass in the left lobe.

Palpation: a hard, painless mass according to the left lobe.

Laboratory tests: TSH 1.05 mIU/L on daily 87.5 microgram levothyroxine.

Ultrasonography. Muscle fiber and connective tissue was found in the right thyroid bed. Hypoechoic mass was found according to the palpable mass in the left lobe. It had a more hypoechoic discrete lesion with echogenic figures. The mass was avascular.

Cytology resulted in granulation around surgical thread.

A surgical consultation was proposed.

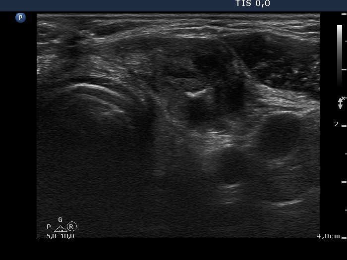
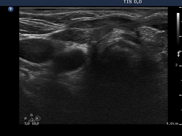
Eleven years after surgery (second and third rows of images):

Clinical data: The patient came to a follow-up. He told us that he decided not to visit the surgeon because the mass did not cause any complaints. He didn't remember exactly, but a few years ago he couldn't feel the knot at all, it had slowly disappeared on its own over the years.

Palpation: no abnormality.

Laboratory tests: TSH 3.56 mIU/L on daily 75 microgram levothyroxine.

Ultrasonography. The right lobe remained unchanged. Compared with the previous finding, a much smaller, inhomogeneous mass was found according to the left lobe. A few centimeters above and ventral to the left lobe, a cystic lesion was found within the strap muscle and close to this, an amorphous hyperechoic fragment was also present (see video).

Comments. 

  1. A granulation around surgical thread can appear even decades after the operation. This was not a typical presentation but cytology was decisive.

  2. While this lesion tends to appear relatively suddenly, it tends to disappear much more slowly over the years, very often lasting for up to a lifetime.

  3. I cannot prove but it seems to be logical that the cystic mass seen at the second visit within the sternocleidomastoid muscle, is also a form of this granulation.
 

 

 

 

 

 

 

 

 

 

 

 

 

mask