The operated thyroid - case 710 |
|
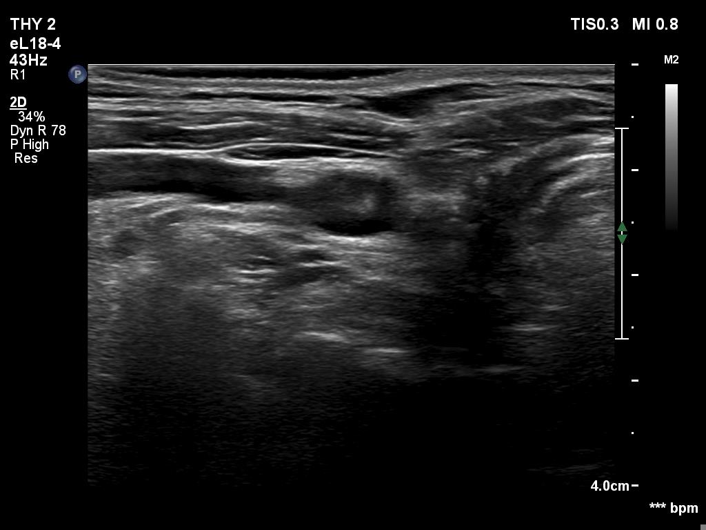
Examination before surgery (first row of images):
Clinical data: A 21-year-old woman requested a second opinion. She has been treated for Graves' hyperthyroidism for three years. The hyperthyroidism relapsed two times. She suffered from mild exophthalmos and occasionally diplopia. Actually, she had no complaints.
Palpation: The thyroid lobes were enlarged. There were no palpable nodules.
Result of blood test: subclinical hyperthyroidism on daily 15 mg methimazole therapy (TSH 0.001 mIU/L, FT4 12.9 pM/L, FT3 4.11 pM/L).
Ultrasonography. The thyroids were echonormal and contained hypoechogenic discrete areas none of them corresponded to a nodule. The echogenicity index was around 30%. The vascularization was average.Surgery was advised. Total thyroidectomy was performed. Histopathology disclosed diffuse goiter, focal lymphocytic thyroiditis.
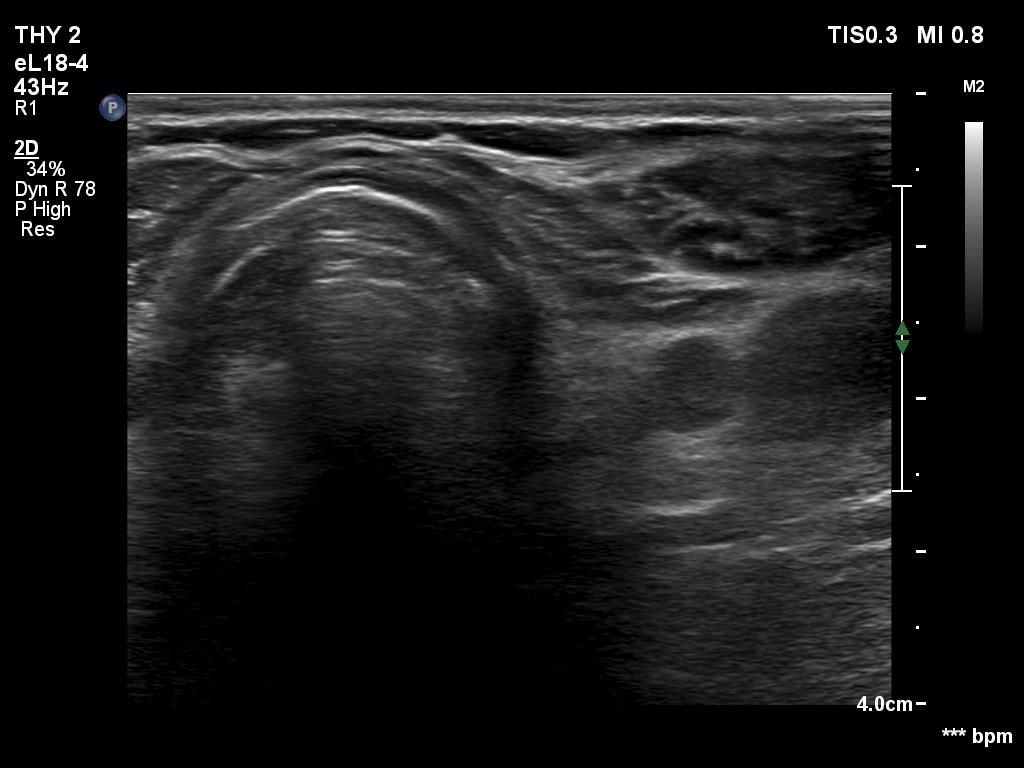
One month after surgery (second row of images):
Clinical data: The patient had no complaints.
Palpation: There was a relatively large, painless mass in the left thyroid bed.
Result of blood test: euthyroidism on daily 125 microgram levothyroxine (TSH 0.87 mIU/L).
Ultrasonography. The thyroid parenchyma was replaced by regenerative tissue. There was a cystic lesion in the left thyroid bed with a maximal diameter of 23 mm.
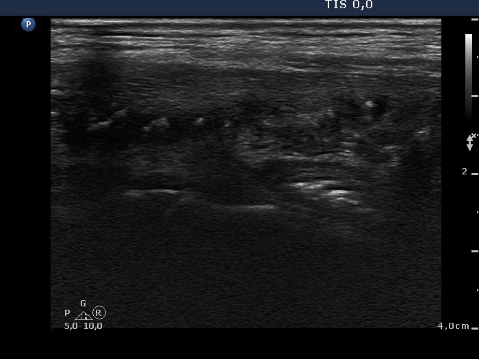
Four months after surgery (third row of images):
Clinical data: The patient had no complaints.
Palpation: no abnormality.
Ultrasonography. The cystic lesion has disappeared. The size of the regenerative tissue decreased significantly.
Suggestion: yearly TSH determination, in the event of pregnancy at once.
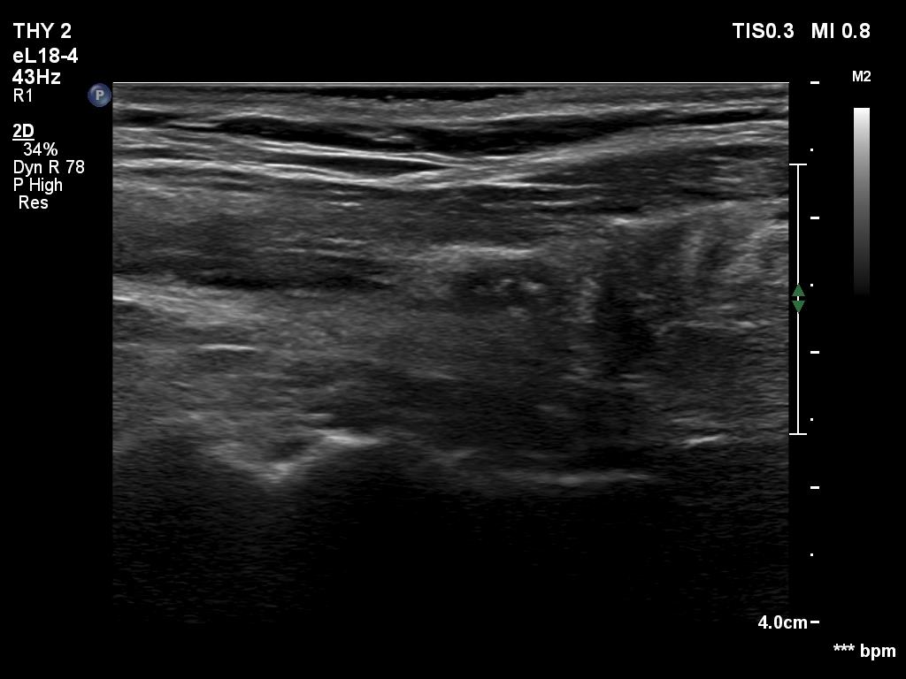
Five years after surgery (fourth row of images):
Clinical data: The patient had no complaints.
Palpation: no abnormality.
Functional test: TSH 1.16 mIU/L on daily 125 microgram levothyroxine.
Ultrasonography. There was minimaly if any thyroid remnant in the thyroid beds. Connective tissue replaced the thyroid.
Suggestion: yearly TSH determination, in the event of pregnancy at once.




















