Prev

The operated thyroid - case 1570

Nodular goiter

Next

Clinical data: A 51-year-old woman came to a routine follow-up. She was operated on a recurrent hyperthyroidism 13 years ago. Histopathology disclosed diffuse goiter corresponding to Graves' disease. In the subsequent 4 years, she was euthyroid on daily 75 microgram levothyroxine. On the last occasion when she was euthyroid, the dimensions of the left lobe were 13x13x24 mm, width, depth, length, respectively. Eight years before the present visit, a subclinical hyperthyroidism was noticed and the left lobe increased to 19x17x37 mm. Medication was discontinued, but the subclinical hyperthyroidism did not change. We suggested radioiodine therapy but the patient refused our proposal. This time, the patient noticed fatigue.

Palpation: The left lobe was moderately firm on palpation.

Laboratory tests: TSH undetectable, FT4 23.3 pM/L, FT3 9.07 pM/L.

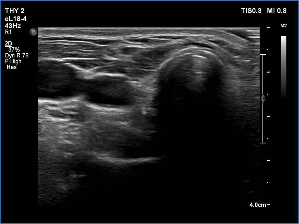
Ultrasonography. The right lobe was replaced by connective tissue. The left lobe was composed of a central hypoechoic mass which was surrounded with thin echonormal tissue. The hypoechoic part of the lobe was composed of smaller discrete lesions. The vascularity was significantly increased both on color Doppler mode and on microflow imaging.

Suggestion: daily 10 mg methimazole. After restoration of elevated hormone levels, radioiodine therapy.

Comment.

  1. A central hypoechoic mass surrounded with an echonormal tissue is one of the most common presentations of a subtotally resected thyroid.

  2. The patient' history demonstrates the high degree of ability of thyroid to regenerate.

  3. Obviously, we prefer radioiodine therapy over surgery in the case of recurrent hyperthyroidism. At the same time, a particular situation to this day often influences patients' decisions. The real consequences of the Chernobyl nuclear accident were long silenced by the then communist leadership. Or the leaders at the time simply lied about it. As a result of this serious omission to this day, many people are still not convinced that Hungary, just over 600 km from Chernobyl, has been avoided by radioactive contamination. This situation was the hotbed of the unhindered spread of fake news, and as a lasting effect to this day, for example, makes many unconvinced about the safety of radioiodine therapy.

 

 

 

 

 

 

 

 

 

 

 

 

mask