The operated thyroid - case 414 |
|
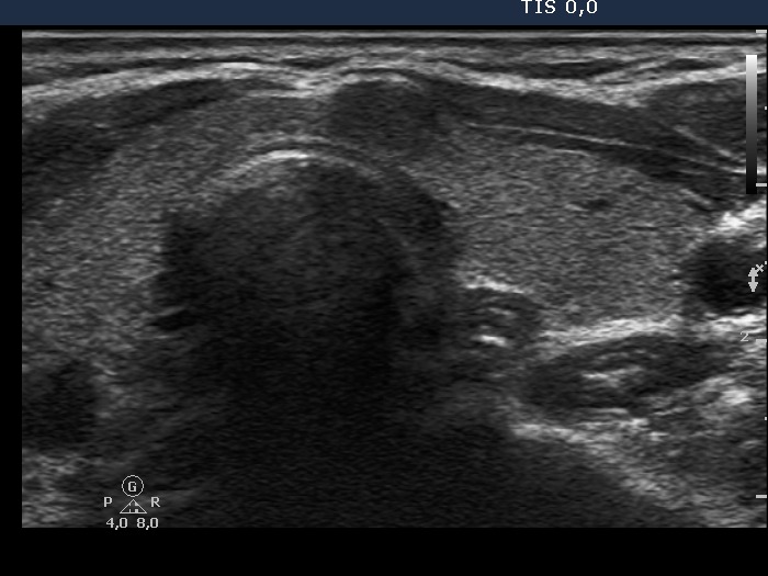
First examination - before surgery (first and second rows of images)
Clinical data. A 51-year-old woman was referred for an evaluation of neck discomfort lasting for a year. She discovered a nodule in the isthmic part of the thyroid 5 months before the present examination.
Palpation: a firm nodule in the isthmus.
Functional state: euthyroidism (TSH 2.01 mIU/L, FT4 14.9 pM/L).
Ultrasonography. The right lobe was echonormal. There was a moderately hypoechogenic, inhomogeneous nodule with blurred borders in the left side of the isthmus. Another cystic nodule was present in the left thyroid.
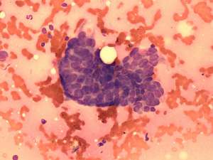
Cytology of the solid nodule resulted in papillary cancer.
Total thyroidectomy was performed. Histopathology disclosed papillary cancer based on the nodule aspirated and hyperplastic nodule based on the nodule in the left lobe. The tumor reached the capsule of the thyroid and the maximal diameter of the carcinoma was 8 mm. The tumor cells displayed significant atypia and even pleomorphism.
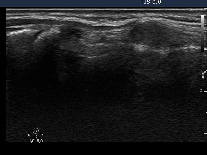
Five weeks after surgery (third row of images)
Clinical data: The patient visited us to get information about the further therapy and prognosis of her disease.
Ultrasonography. A moderately hypoechogenic mass with discrete circumscribed areas replaced the resected thyroid.
Taking the location and the morphology of the tumor into account we advised radioiodine therapy.
Eleven months after surgery (fourth row of images)
Clinical data. The patient underwent on ablative radioiodine therapy and was well.
Palpation: no abnormality.
Functional state: subclinical hyperthyroidism on daily 175 microgram levothyroxine (TSH 0.06 mIU/L, FT4 22.1 pM/L, thyroglobulin < 0.1 ng/mL, anti-hTg 2 U/mL).
Ultrasonography: There was no thyroid parenchyma in thyroid beds. The regenerative mass disappeared.
Five years after surgery (fifth row of images)
Clinical data. The patient had no complaints.
Palpation: no abnormality.
Functional state: subclinical hyperthyroidism on daily 1505 microgram levothyroxine (TSH 0.03 mIU/L, FT4 17.4 pM/L, thyroglobulin < 0.1 ng/mL, anti-hTg < 20 U/mL).
Ultrasonography: There was no thyroid parenchyma in thyroid beds.
Suggestion: to decrease the dose of levothyroxine to daily 125 microgram.



















