The operated thyroid - case 1700 |
|
Clinical data: An 83-year-old woman was referred for evaluation of complaints suggesting hypothyroidism. The patient was operated on more than 30 years ago.
Palpation: no abnormality.
Laboratory tests: TSH 3.02 mIU/L on daily 62.5 microgram levothyroxine.
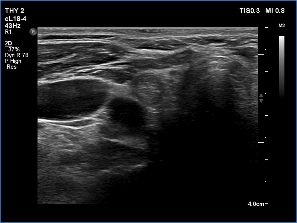
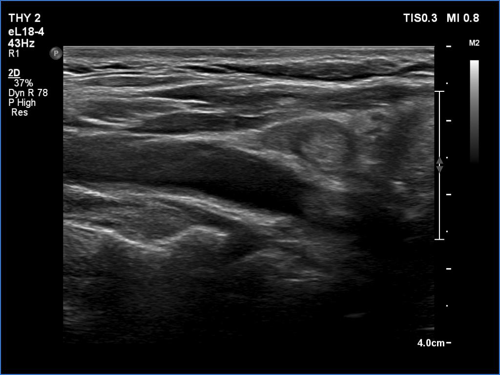
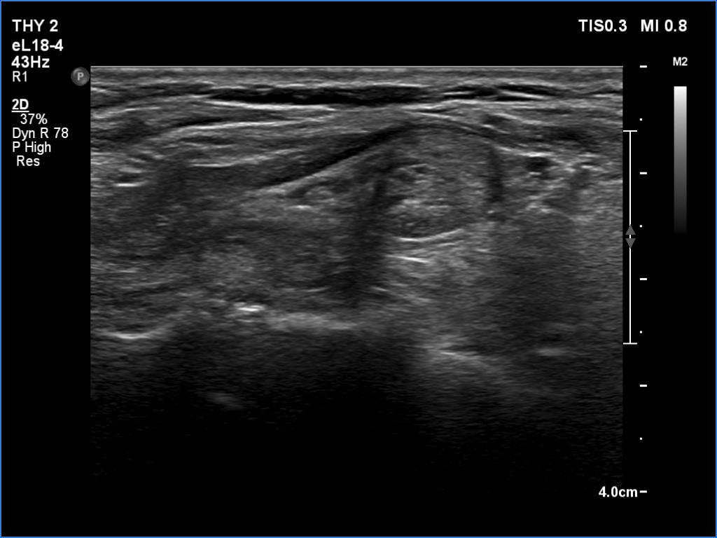
Ultrasonography. Both lobes had discrete lesions. The volume of the lobes were approximately one-tenth and one-third of a normal lobe, right and left lobe, respectively. The possibility of a true nodule should be considered in the event of the lesions in the left lobe.
Summary. The normal TSH excludes untreated hypothyroidism as a cause of complaints. We suggested to continue with daily 62.5 microgram levothyroxine therapy.
Comment. A subtotally resected thyroid almost always presents discrete lesions. If the histology was benign, then practically the only relevant question is whether the operated lobe will ever grow to the point where further intervention is required. In this regard, the really important data is the size of the lobe, not the decision as to whether the lesions in the thyroid gland can be considered real nodules. The latter question is often not answered unambiguously, so in this case as well.





