The operated thyroid - case 318 |
|
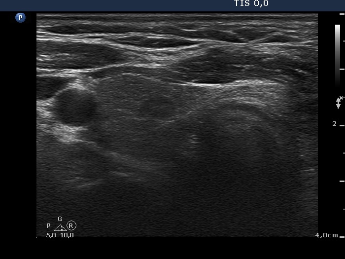
Six weeks after surgery (first row of images):
Clinical data: A 38-year-old woman underwent on near total left lobectomy because of follicular adenoma 6 weeks ago.
Palpation: no abnormality.
Result of blood test: euthyroidism with a minimally elevated TSH level (TSH 4.51 mIU/L, FT4 14.0 pM/L).
Ultrasonography. The right lobe was echonormal and had a small, insignificant lesion. According to the left thyroid, there was an inhomogeneous mass corresponding to regenerative tissue. The mass was not well-demarcated.
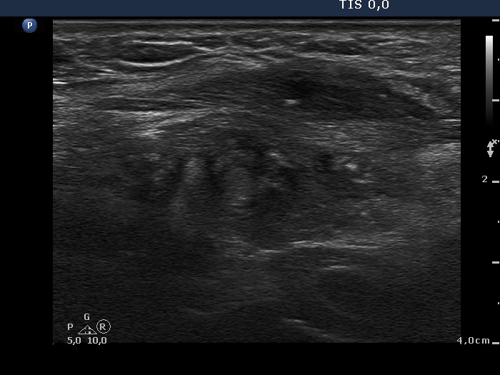
Six months after surgery (second row of images):
Clinical data: The patient had no complaints.
Palpation: no abnormality.
Result of blood tests: euthyroidism (TSH 3,08 mIU/L).
Ultrasonography. The presentation of the right lobe was unchanged. The left lobe was minimally hypoechogenic and contained a hypoechogenic area with irregular shape. In contrast with the former examination, the operated left lobe became well-demarcated.
Comment. Considering the postoperative presentation of the left lobe, the type of surgery appears to be subtotal rather than near total.










