The operated thyroid - case 411 |
|
Clinical data: A 60-year-old woman underwent a left subtotal resection 10 years ago. Histopathology disclosed follicular adenoma. The patient noticed a hard lump in the left thyroid a few weeks ago. Since then, she felt an unpleasant pressure when turning her head.
Palpation: a hard nodule in the left lobe.
Functional state: euthyroidism with TSH 2.93 mIU/L.
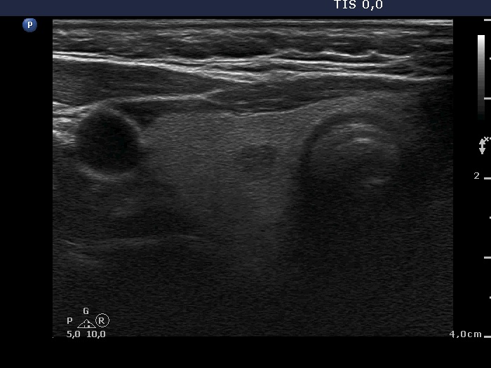
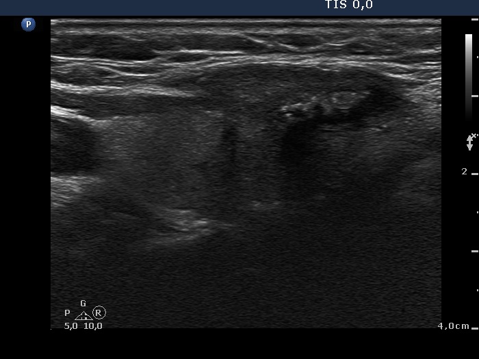
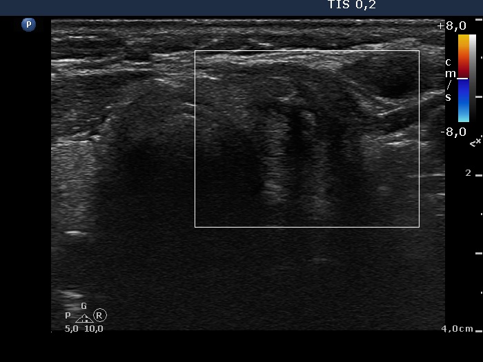
Ultrasonography. The right lobe was echonormal and contained several small, insignificant lesions. There was a hypoechogenic, irregularly shaped mass in the lower half of the left lobe. The lesion had a rigged, echonormal core which showed bright hyperechogenic granules. There were multiple incomplete acoustic shadows dorsal to the lesion which was avascular.
Aspiration cytology resulted in benign granulation around surgical thread.
The lesion was removed because of the complaints. Histopathology disclosed granulation around surgical thread.







