Prev

The operated thyroid - case 940

Nodular goiter

Next

 

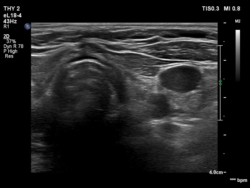
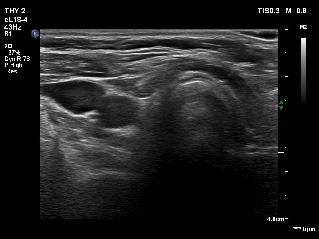
Before the surgery (first row of images):

Clinical data: A 50-year-old woman has been treated for Graves' disease for three years. The hyperthyroidism has recurred four times during this period, and this recurrence were characterized by a > 55 pM/L FT4-level.

Palpation: Both lobes were a enlarged and not firm.

Laboratory tests: TSH 0.01 mIU/L, FT4 22.3 pM/L, FT3 11.4 pM/L on daily 10 mg methimazole.

Ultrasonography. The thyroid was moderately hypoechoic and inhomogeneous. There was small echonormal discrete lesion in the left lobe. The vascularity was a bit increased.

Suggestion: to increase the dose of methimazole to daily 21 mg. After restoration of thyroid hormones, surgery. (The patient's mother was sent for radioiodine treatment for Graves' disease 15 years ago. After treatment, a level of TAO developed that significantly and permanently impaired quality of life.)

Total thyroidectomy was performed.  Histopathology disclosed diffuse goiter corresponding to Graves' disease. A solitary, two-millimeter papillary cancer was found in the right lobe.

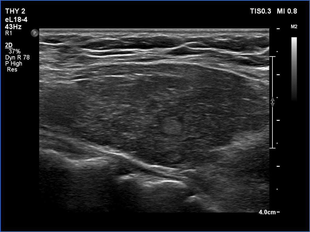
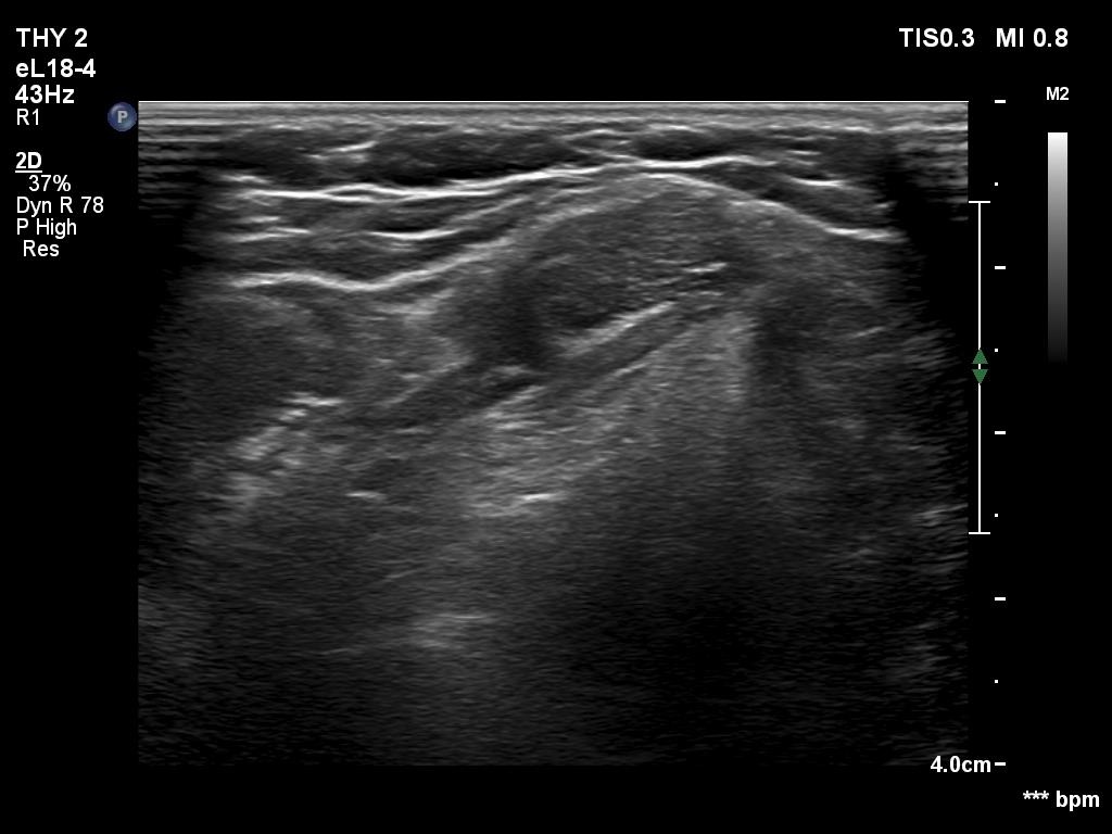
One year after the surgery (second row of images):

Clinical data: On routine follow-up, the surgeon palpated a mass in the middle of the neck. The patient was referred for evaluation and cytology of the mass.

Palpation: a not firm mass in the middle of the neck above the level of the thyroid.

Laboratory tests: TSH 3.01 mIU/L on daily 75 microgram levothyroxine.

Ultrasonography. Connective tissue replaced the thyroid. Approximately 4 cm above the level of the thyroid, a hypoechoic mass was found. The echo structure was identical to the that of the thyroid seen before the surgery.

Cytology was performed form the mass and resulted in benign hormonal atypia. Wash-out thyroglobulin exceeded 10,000 pg/mL.

Comment. The palpation remains a crucial examination in thyroid patients. If we did not palpate the neck, this lesion would be very likely overlooked on ultrasonography because of the similarity of the echo structure to the neighboring muscle tissue. The two types of tissue differed in two things, the thyroid gland contained less thick and shiny connective tissue bundles, and circulation was detected in it.

 

 

 

 

 

 

 

 

 

 

 

 

 

mask